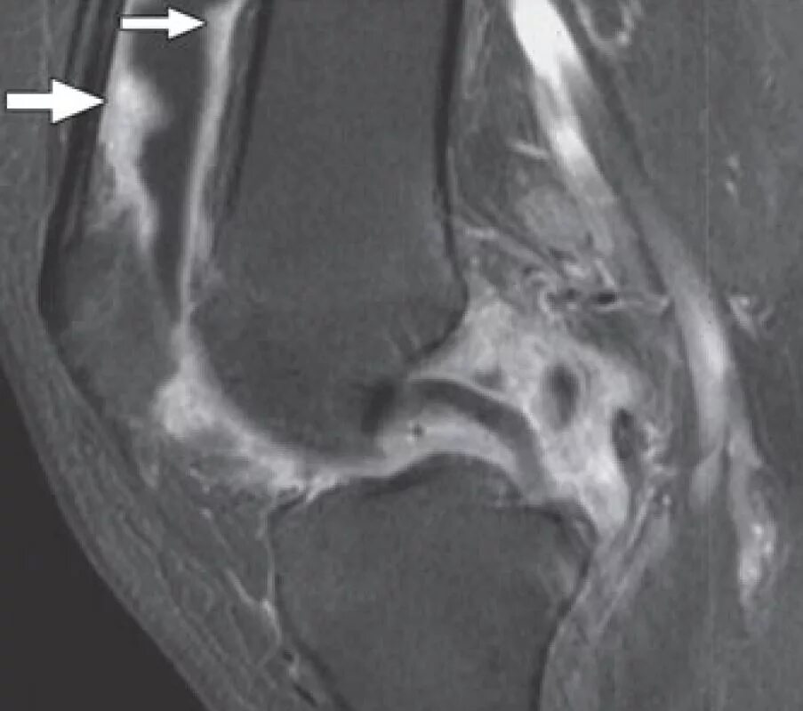
Что такое синовит коленного сустава на мрт