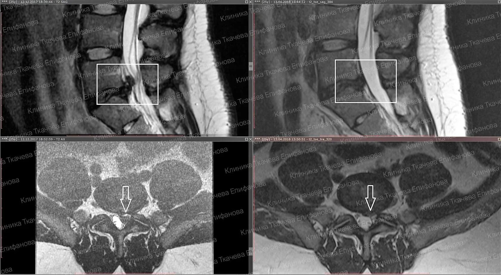
Что такое резорбция грыжи позвоночника