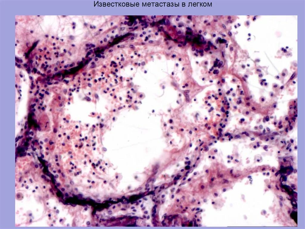
Что такое метастазы простыми словами