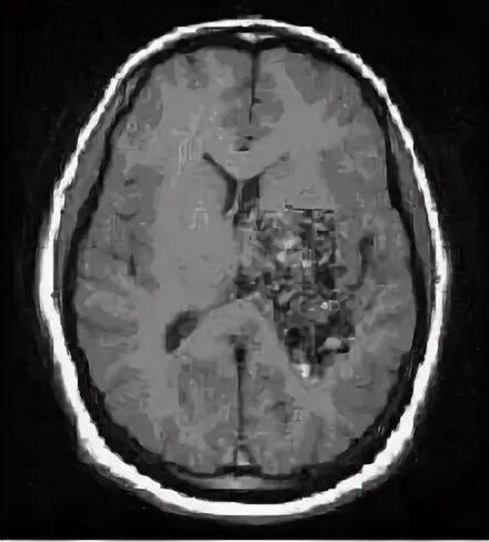
Что такое мальформация головного мозга