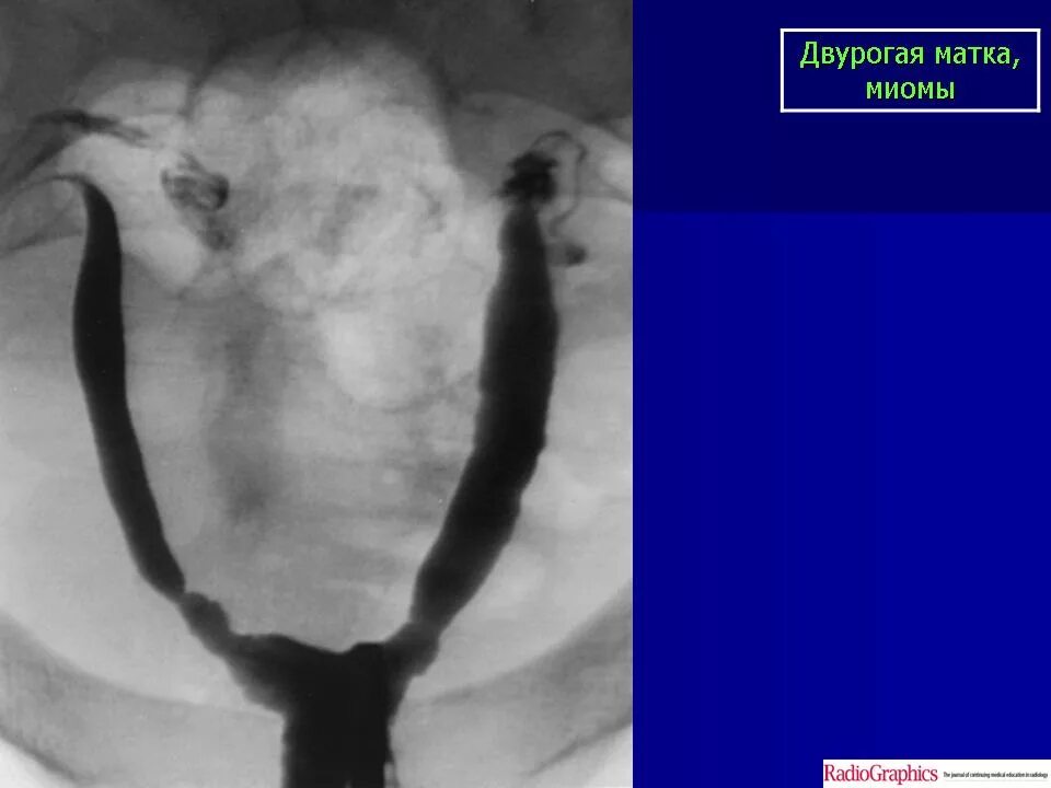
Что такое две матки у женщины