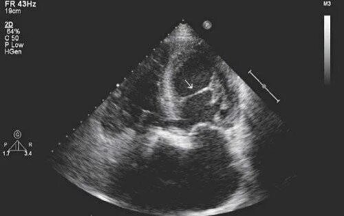
Что такое дополнительная хорда