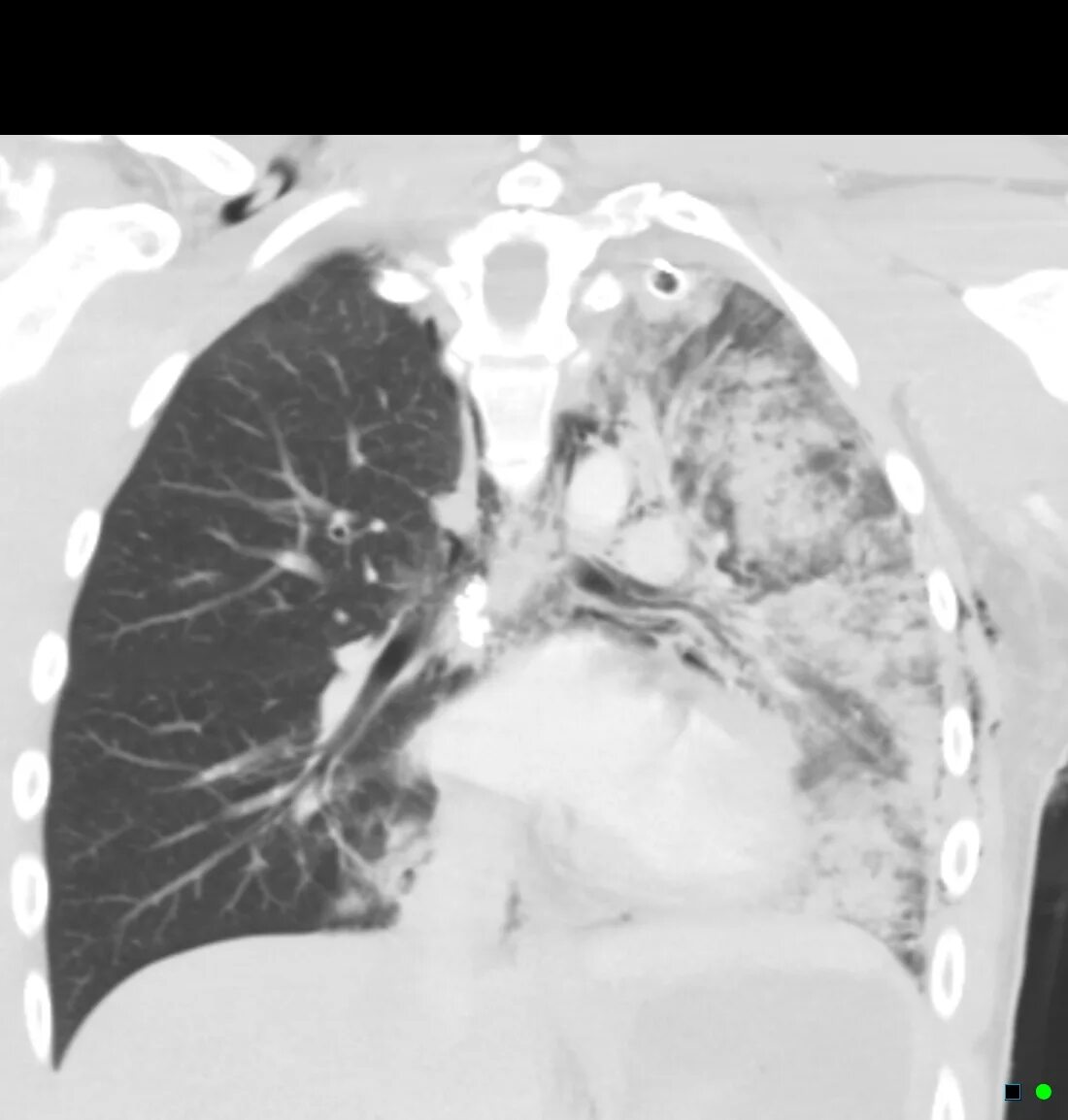
Что такое баротравма при взрыве у человека