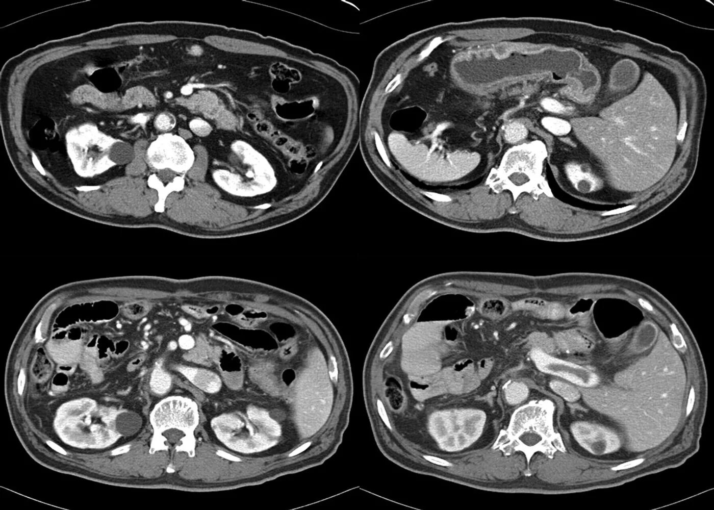
Что показывает мскт