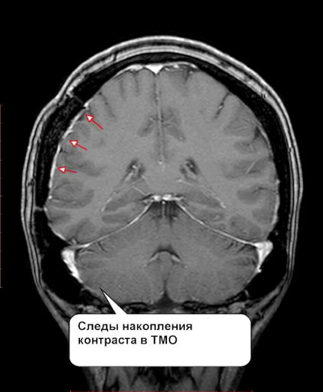
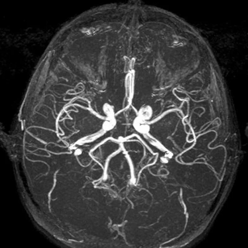
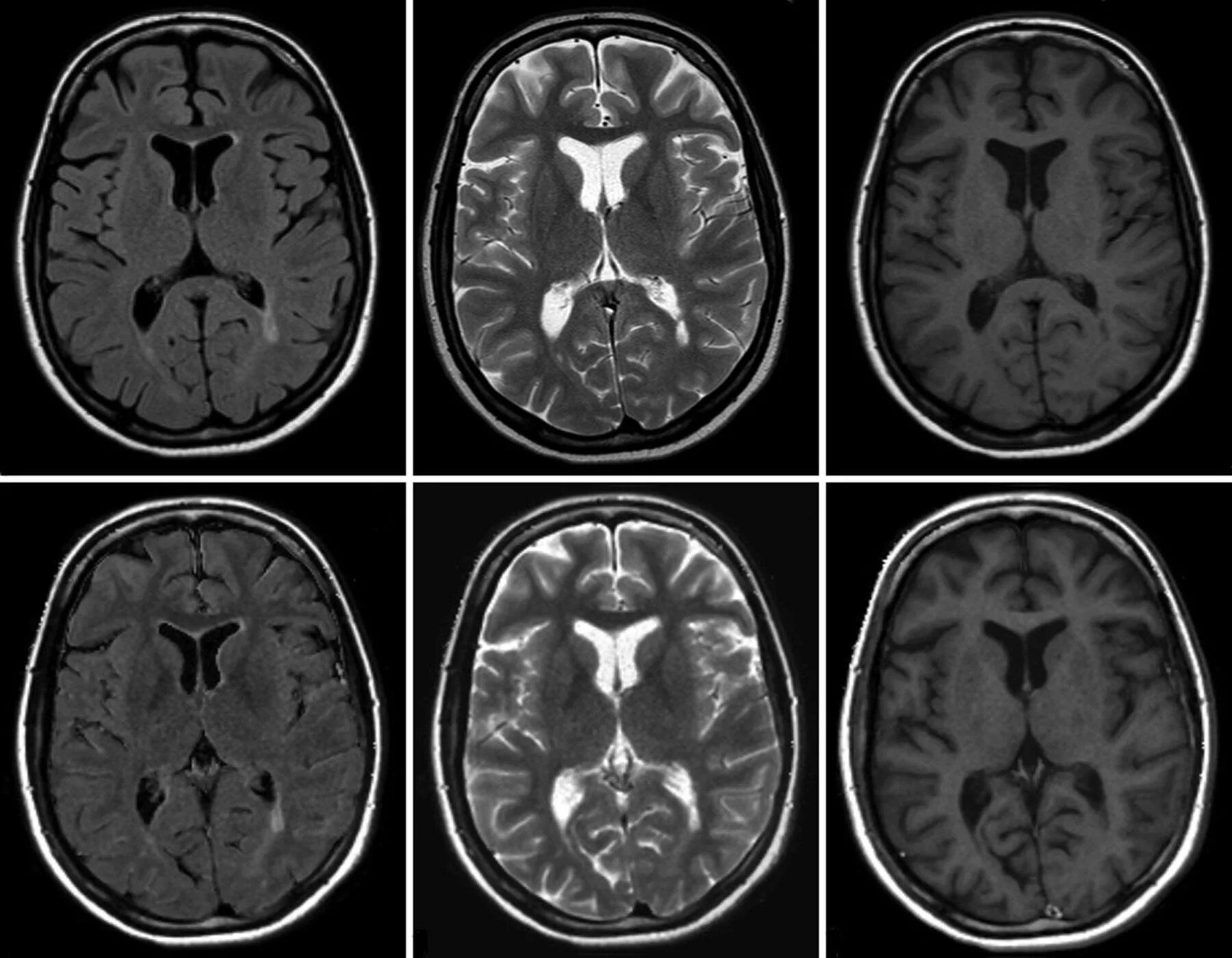
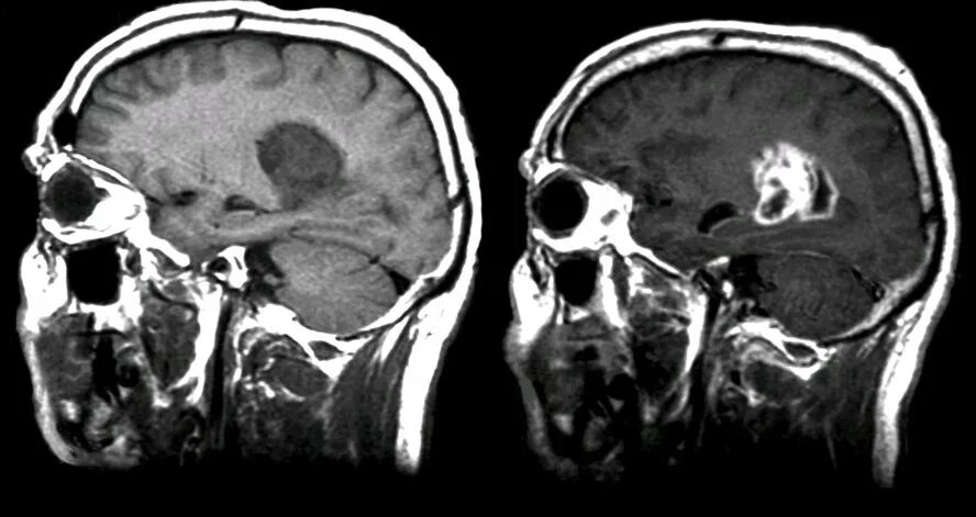
Что покажет мрт головного мозга с контрастом