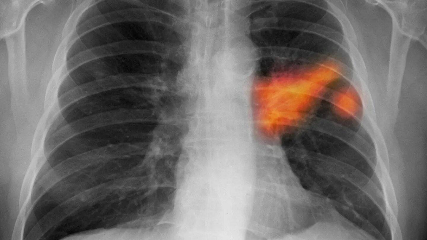
Что образуется в легких