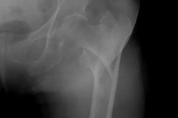
Чрезвертельный перелом без операции