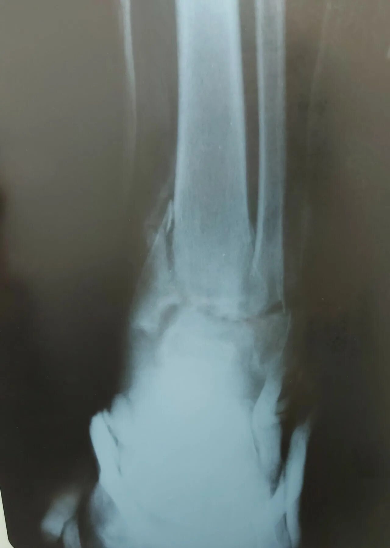
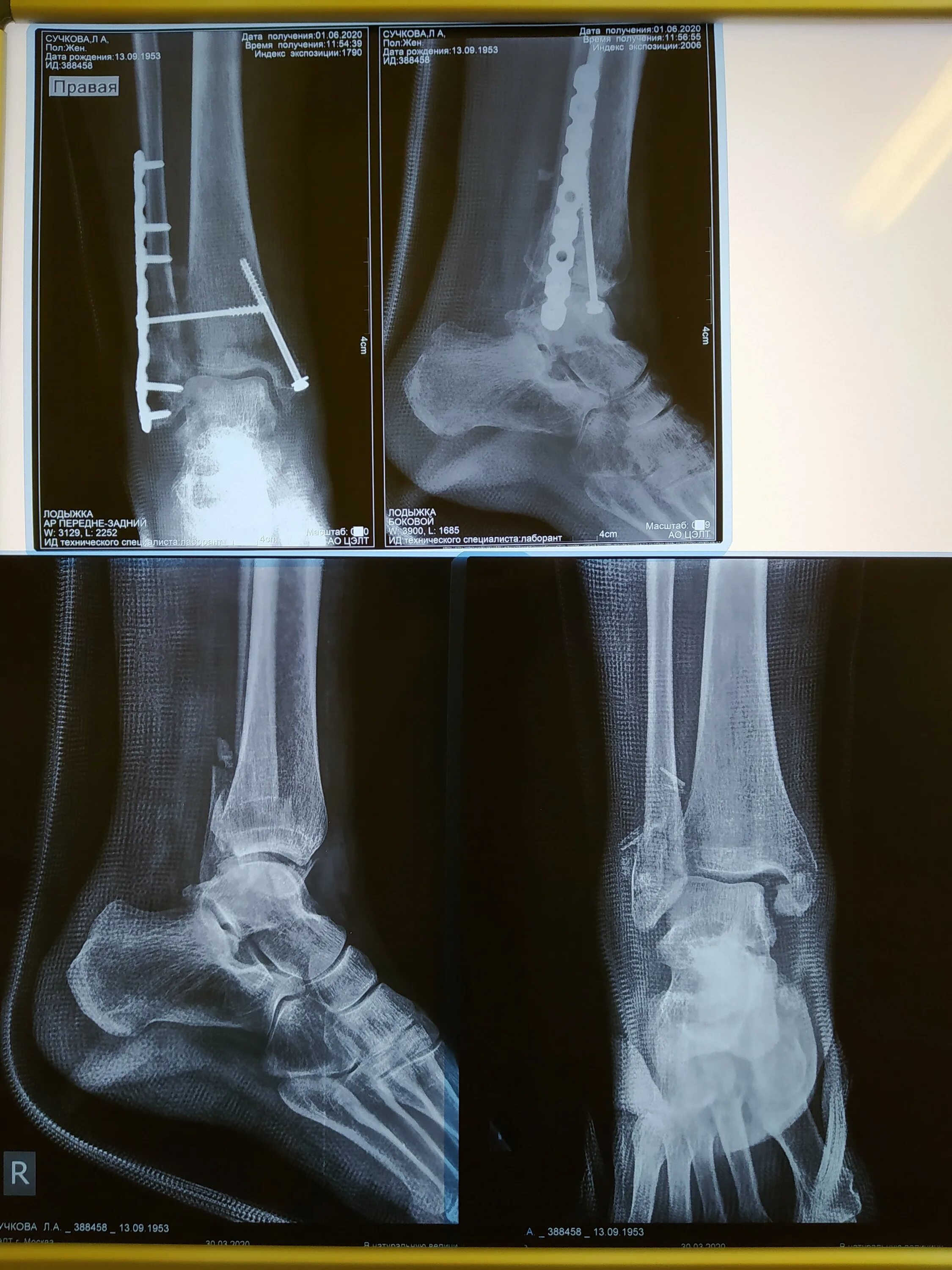
Через сколько срастается перелом лодыжки