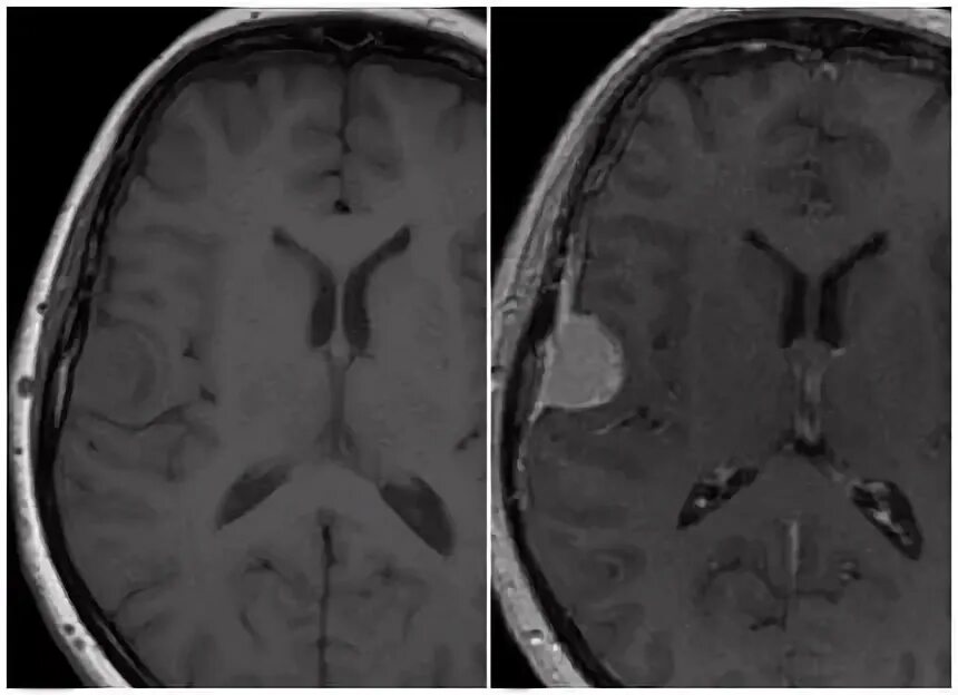
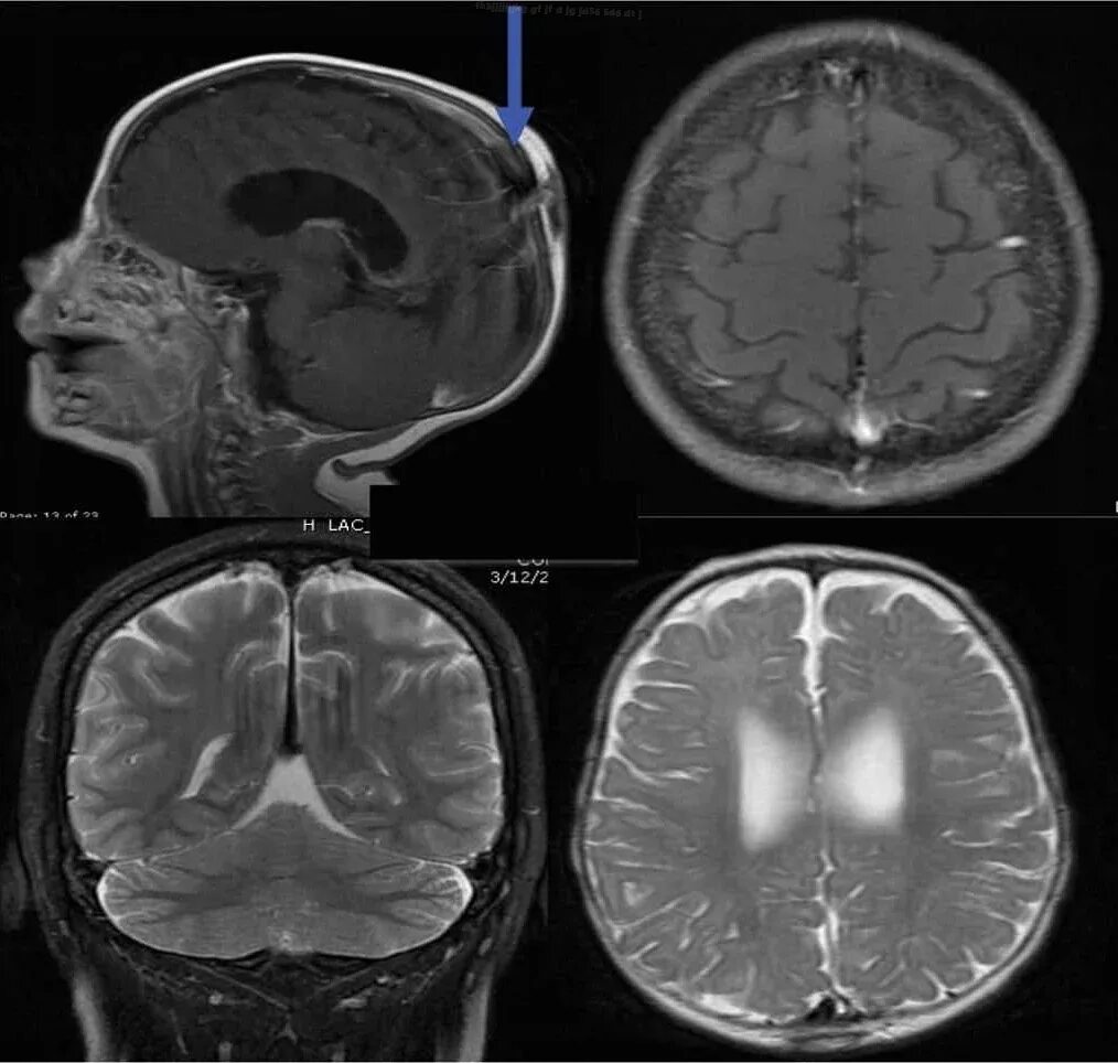
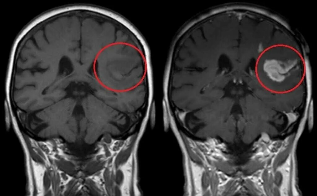
Чем отличается мрт от мрт с контрастом