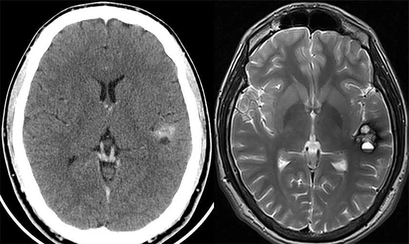
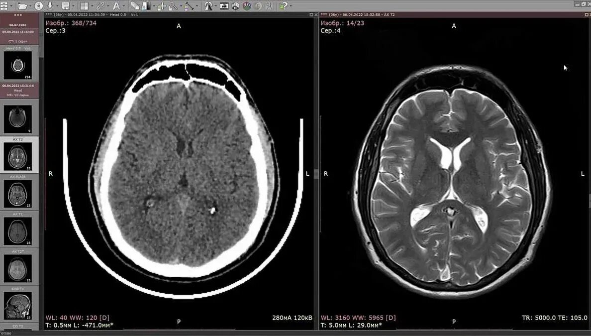
Чем отличается кт от мрт головы