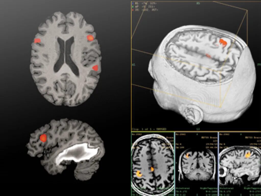
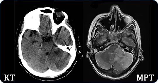
Чем отличается кт от мрт головного