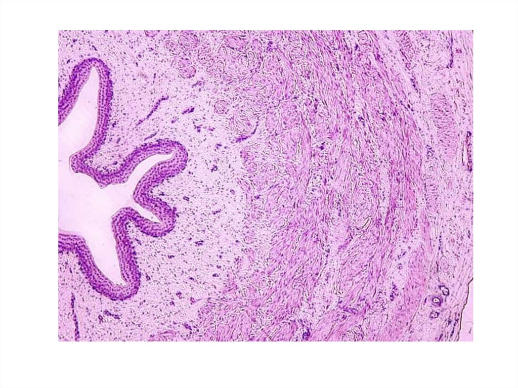
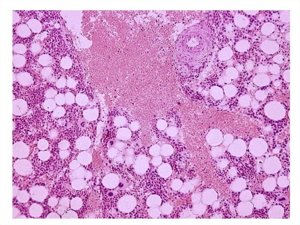
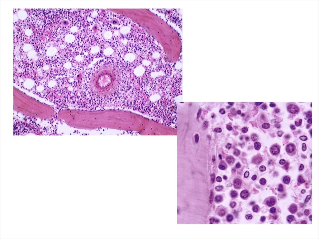
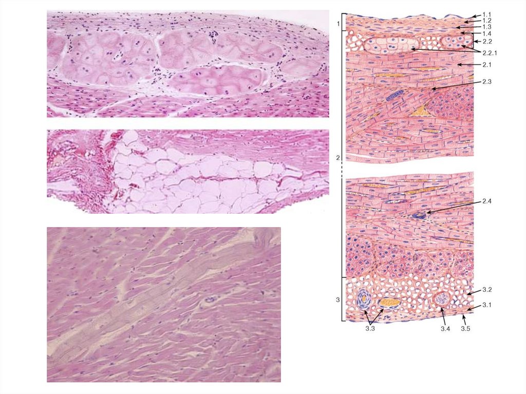
Частная гистология