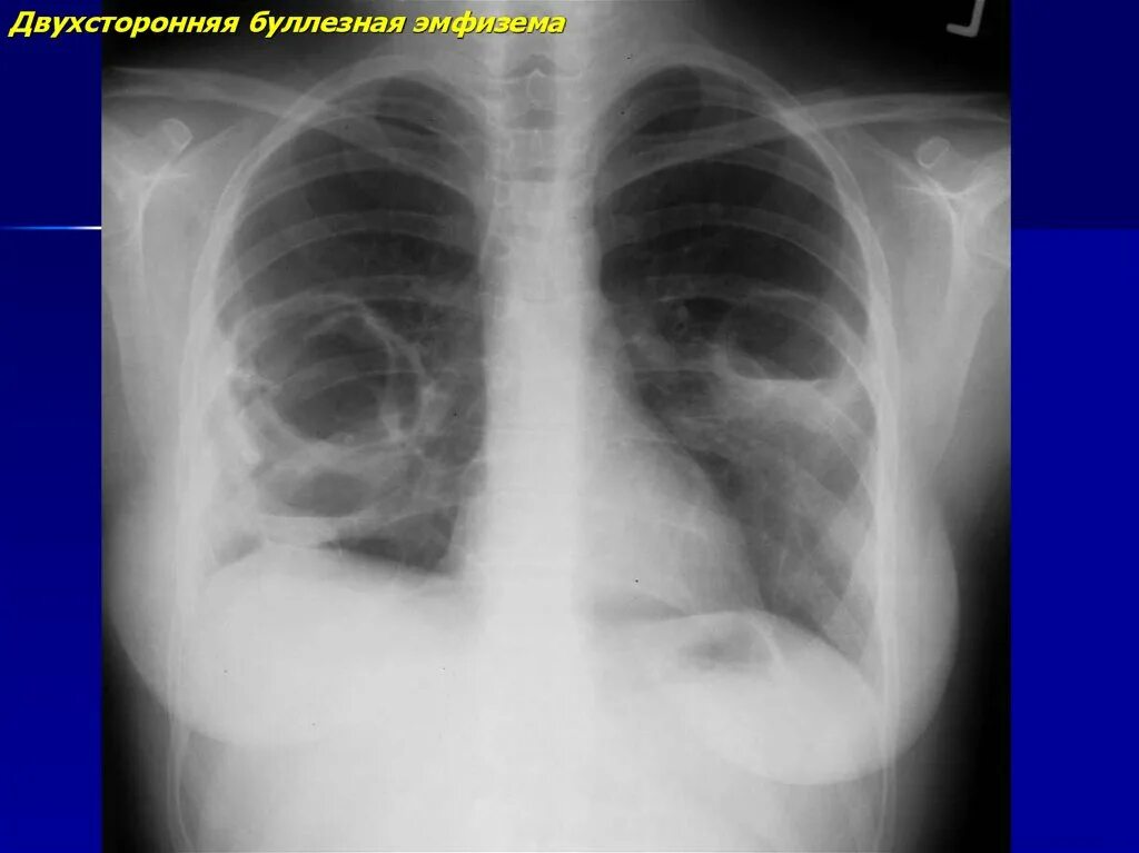
Буллезные изменения в легких