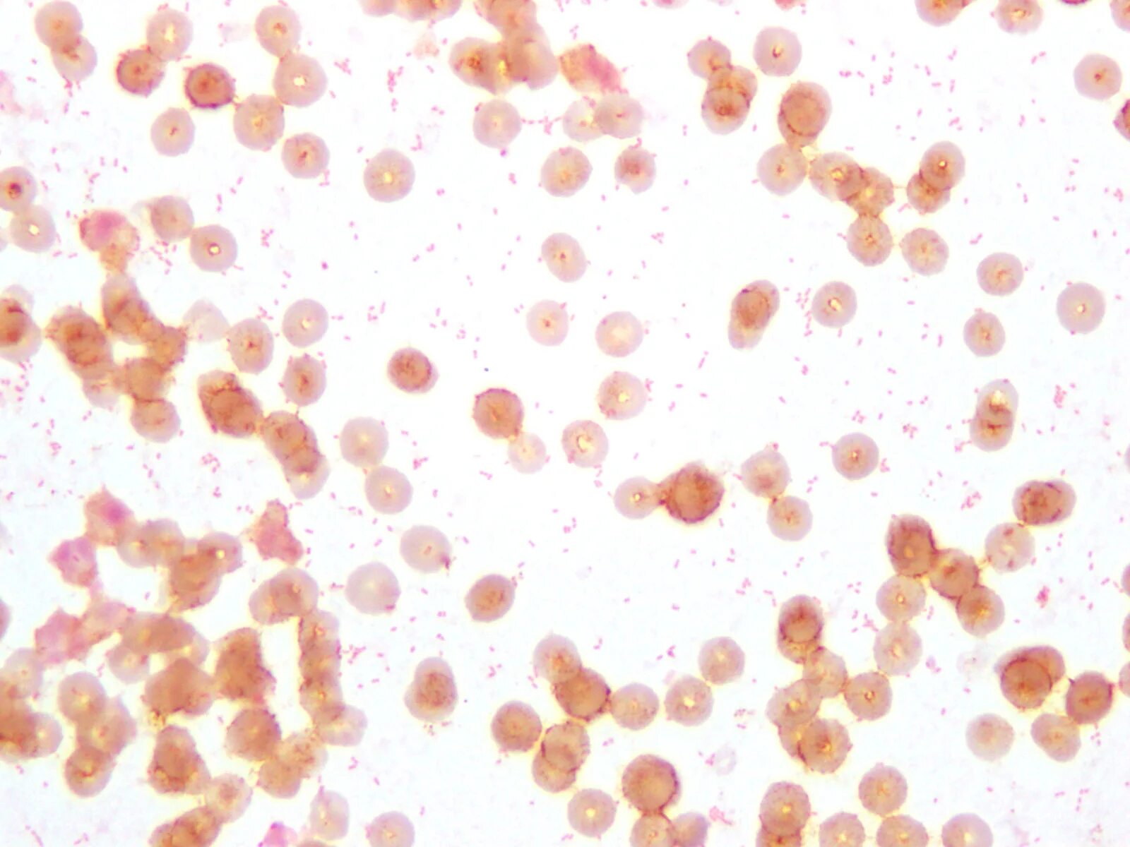
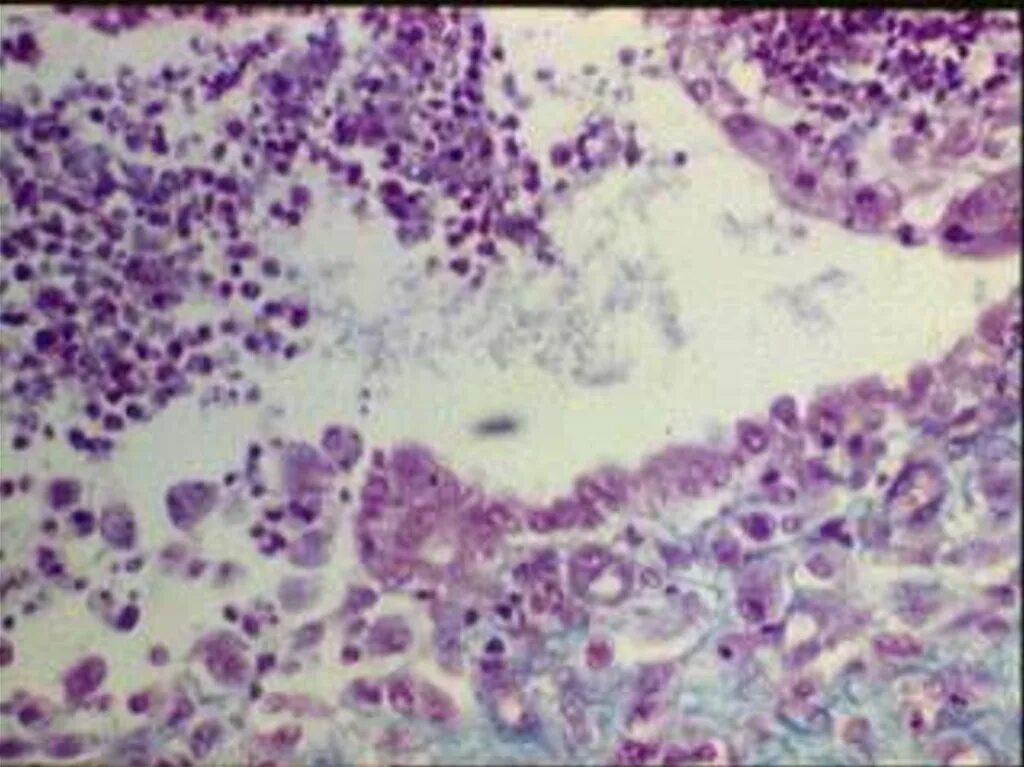
Brucella spp