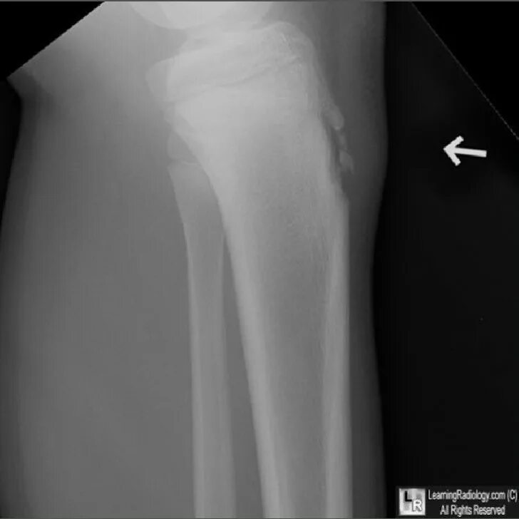
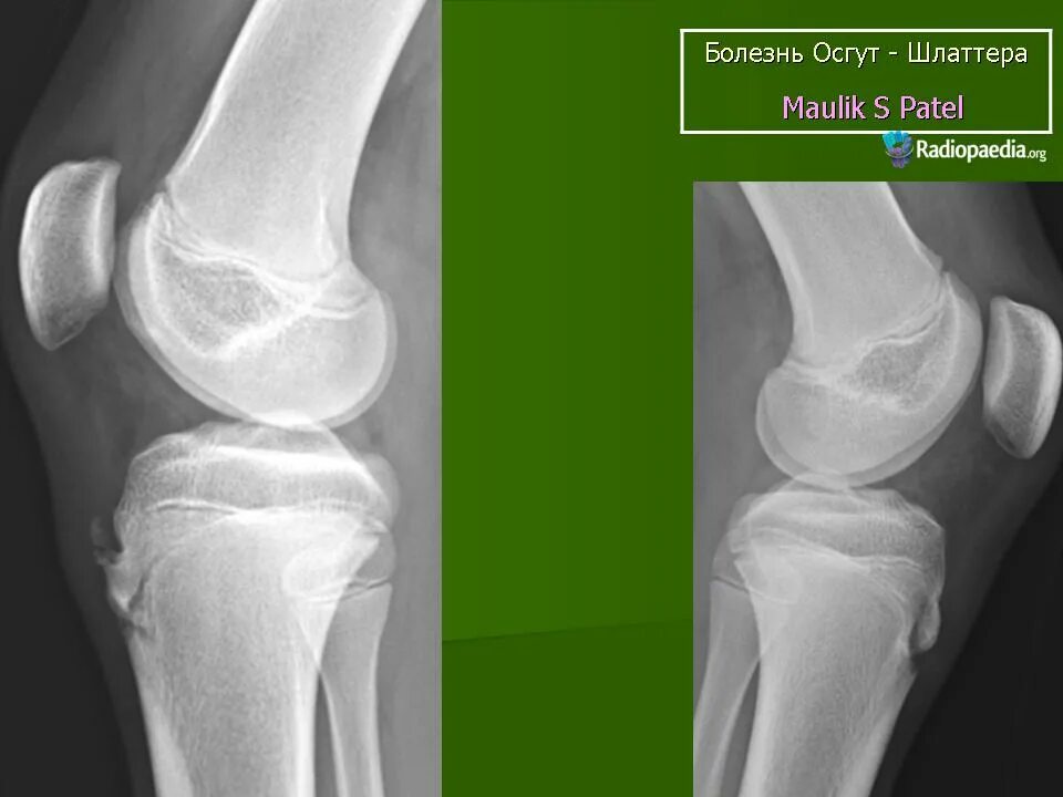
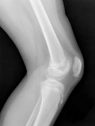
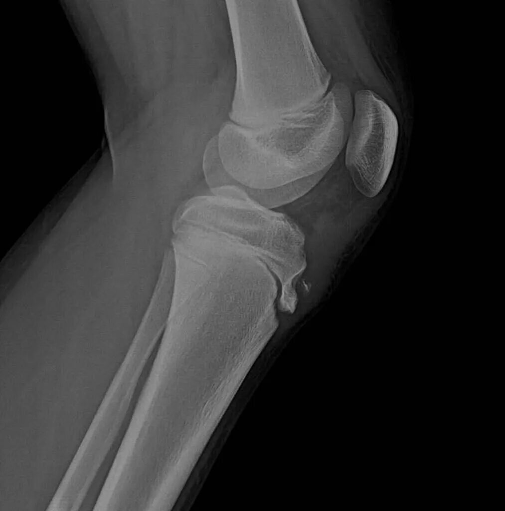
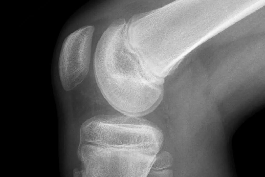
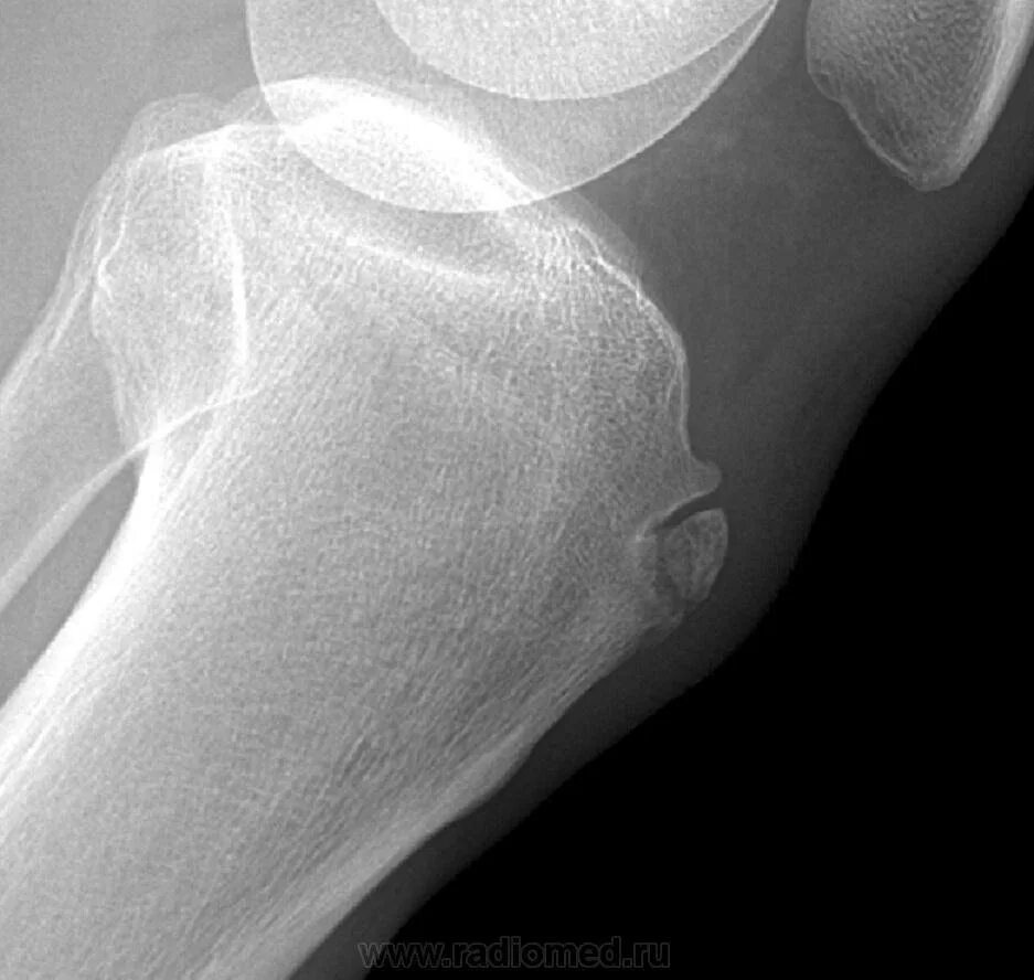
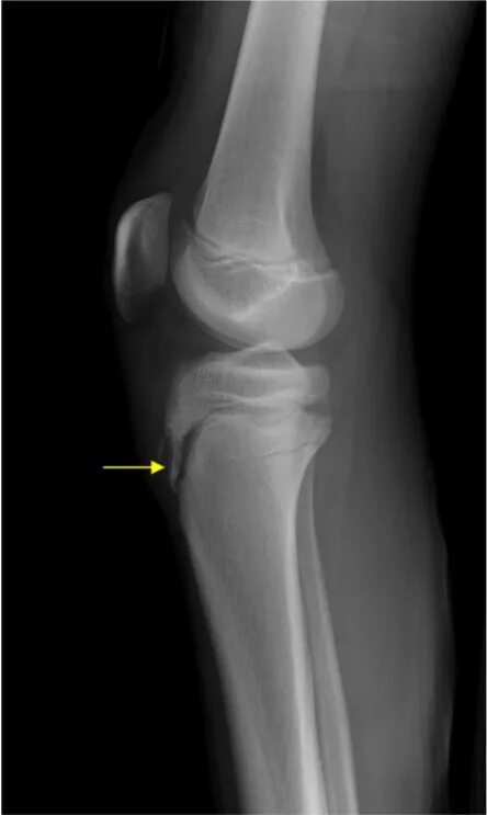
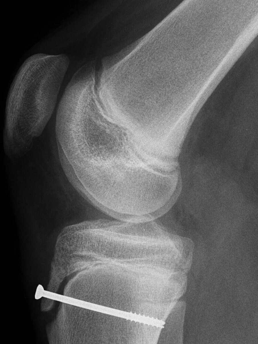
Болезнь осгут шляттера