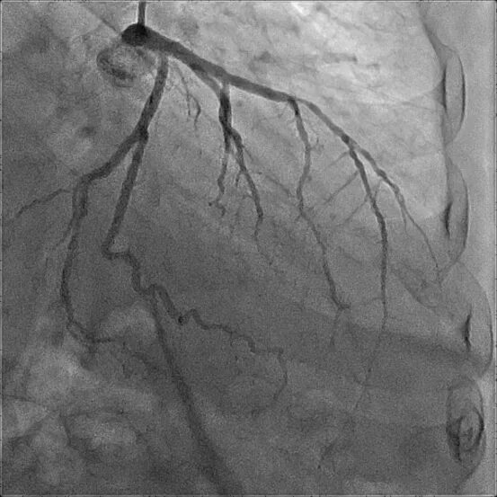
Атеросклероз левой коронарной артерии