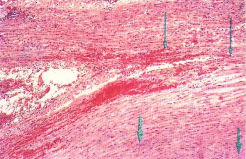
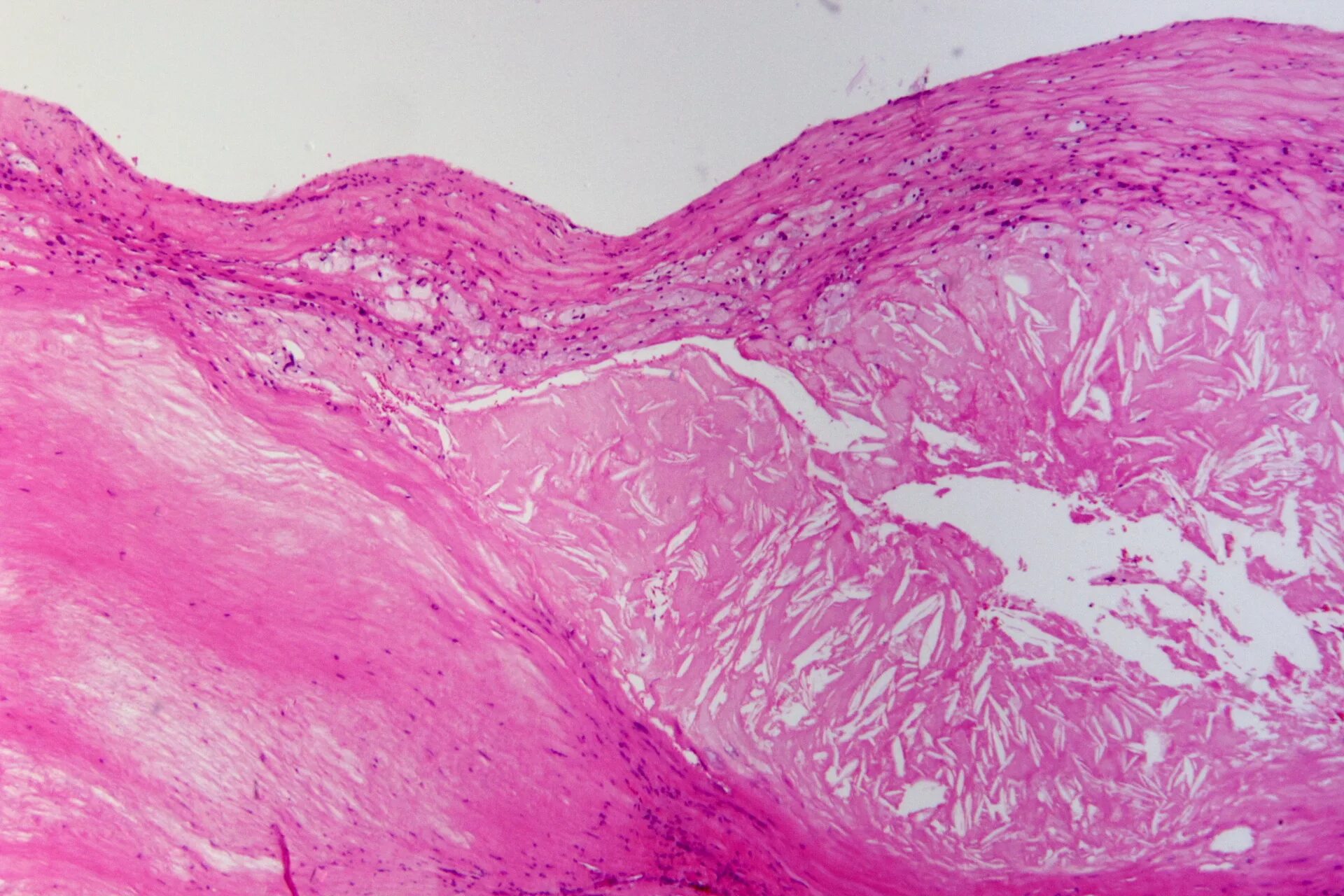
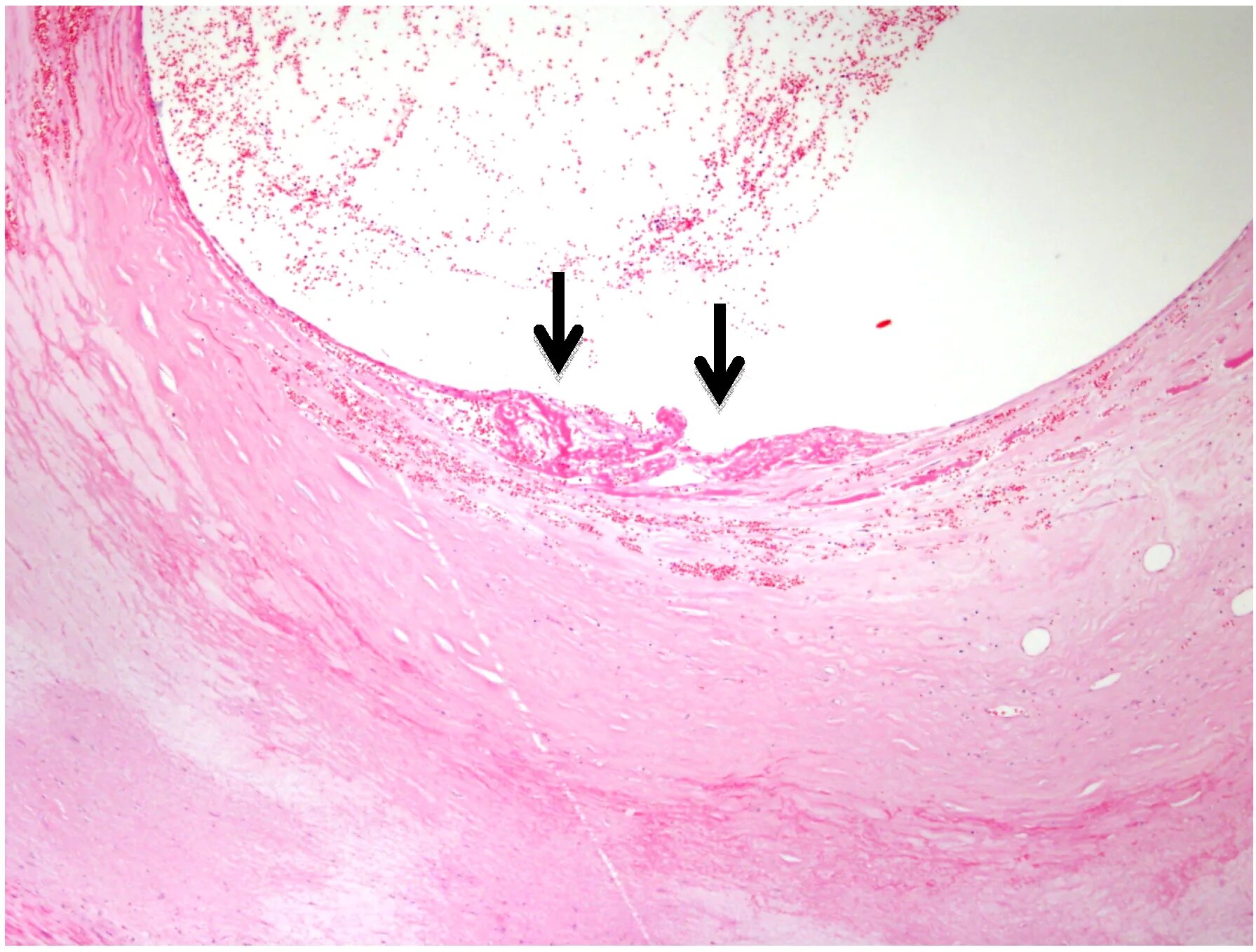
Атеросклероз аорты препарат