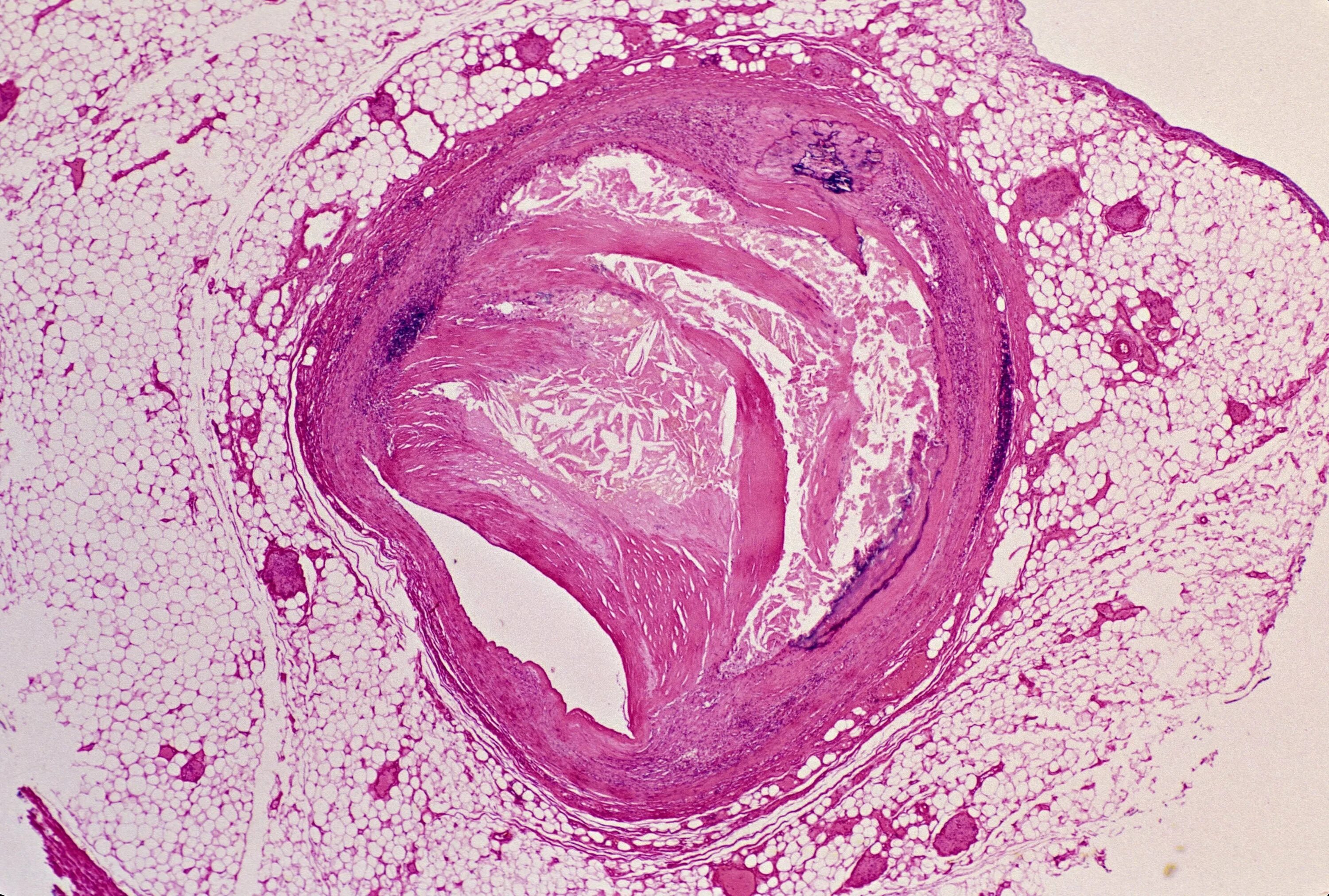
Атеросклероз 2025