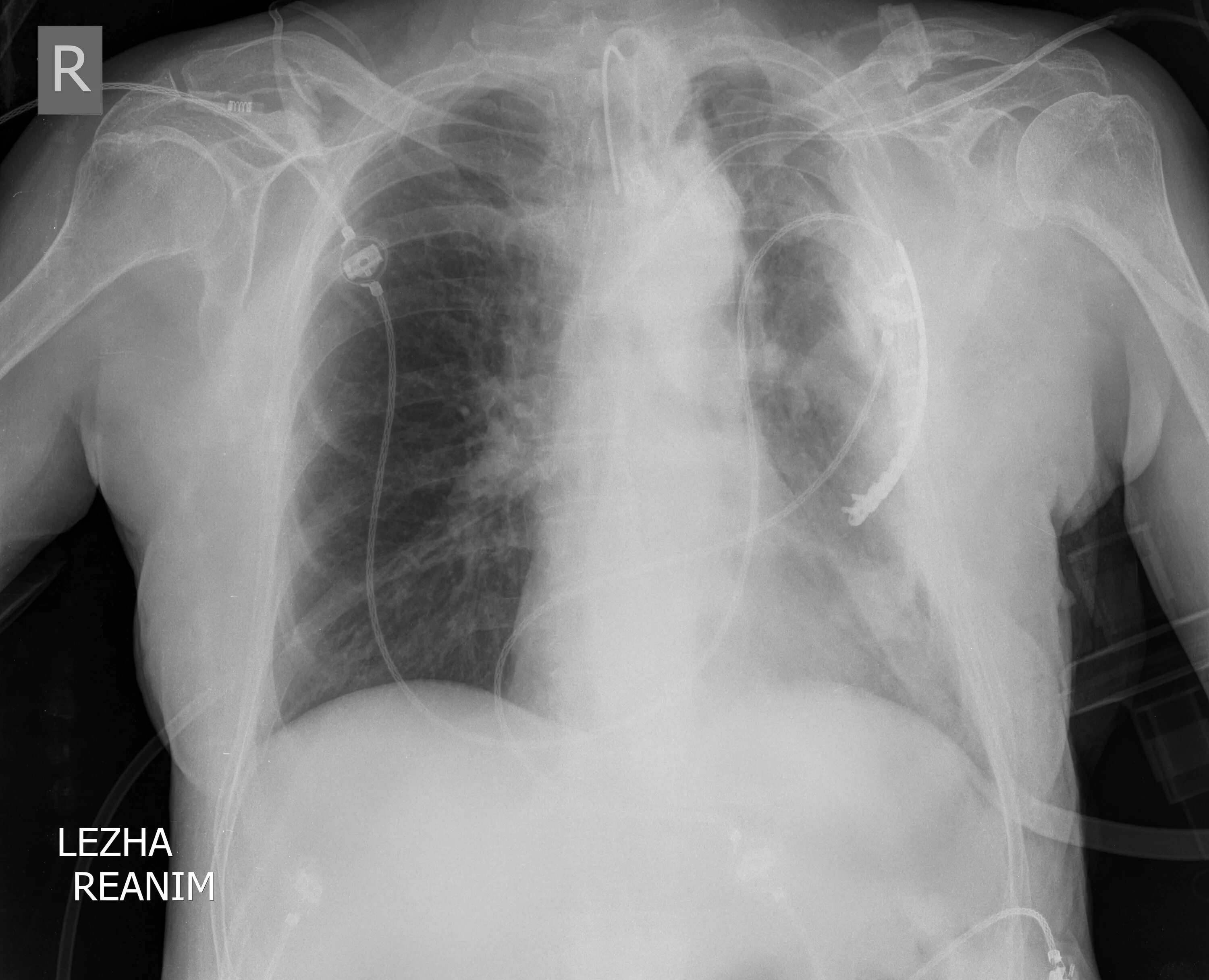
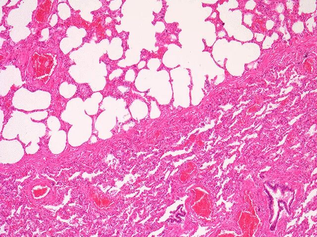
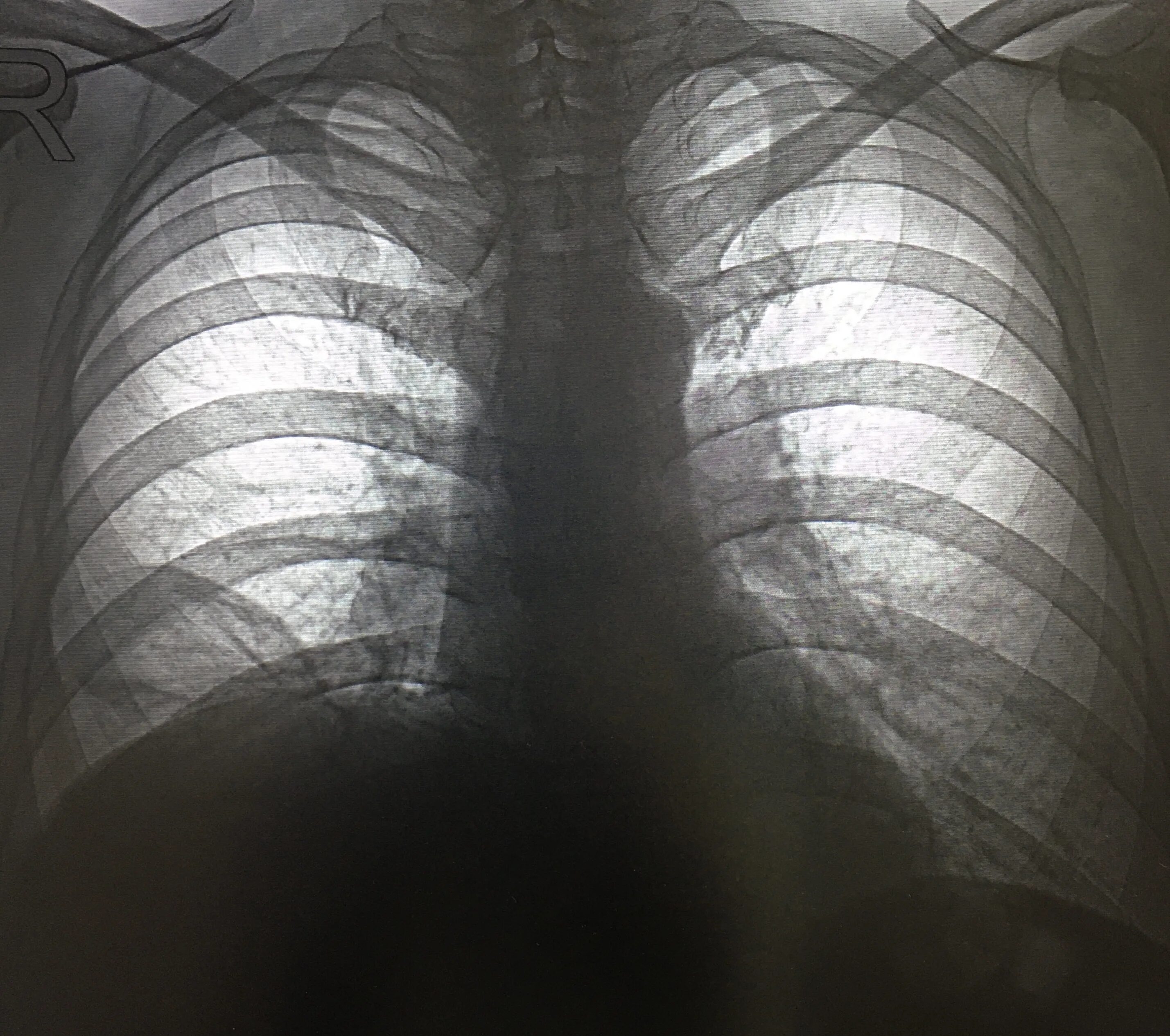
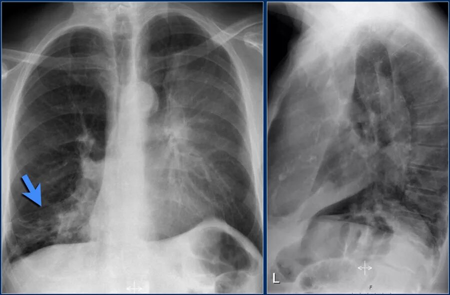
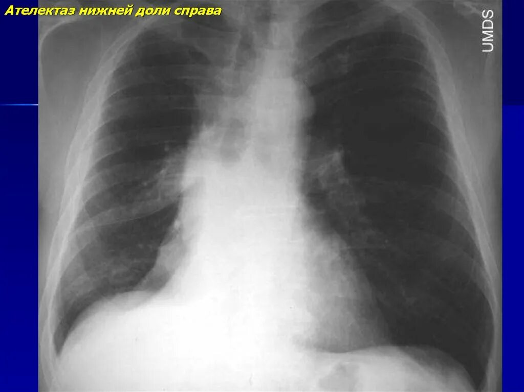
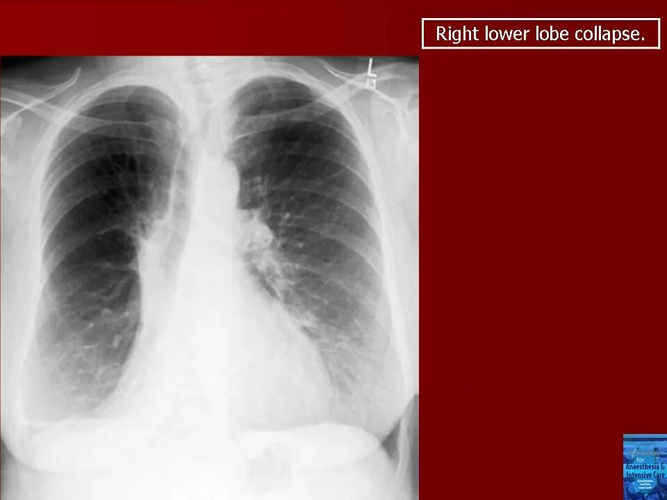
Ателектазы тканей легких