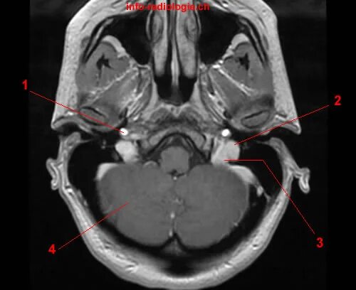
Асимметрия поперечных сигмовидных синусов s d