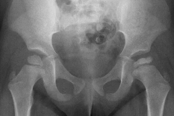
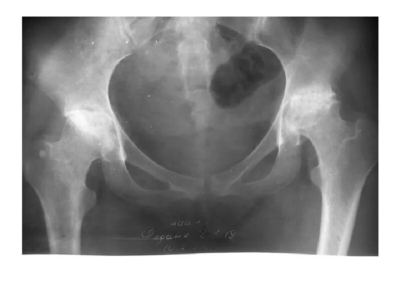
Асептический некроз инвалидность