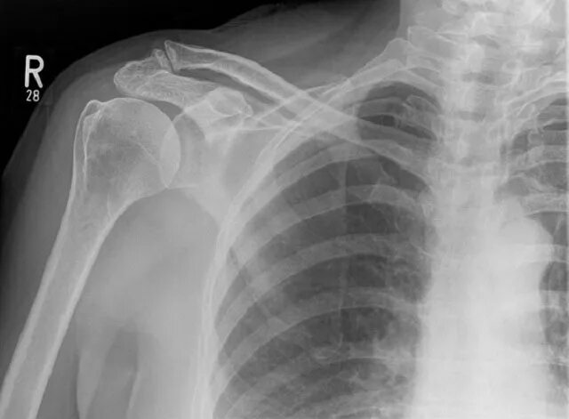
Артроз ключично акромиального сочленения плечевого