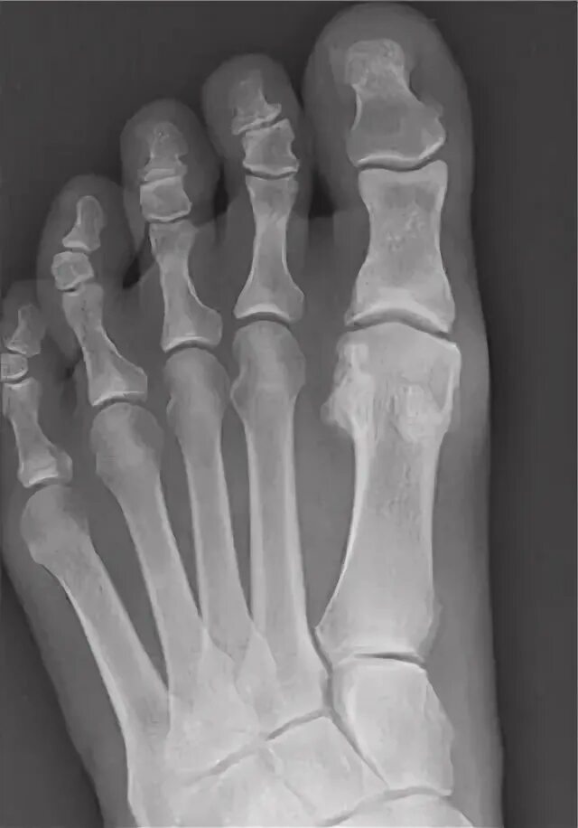
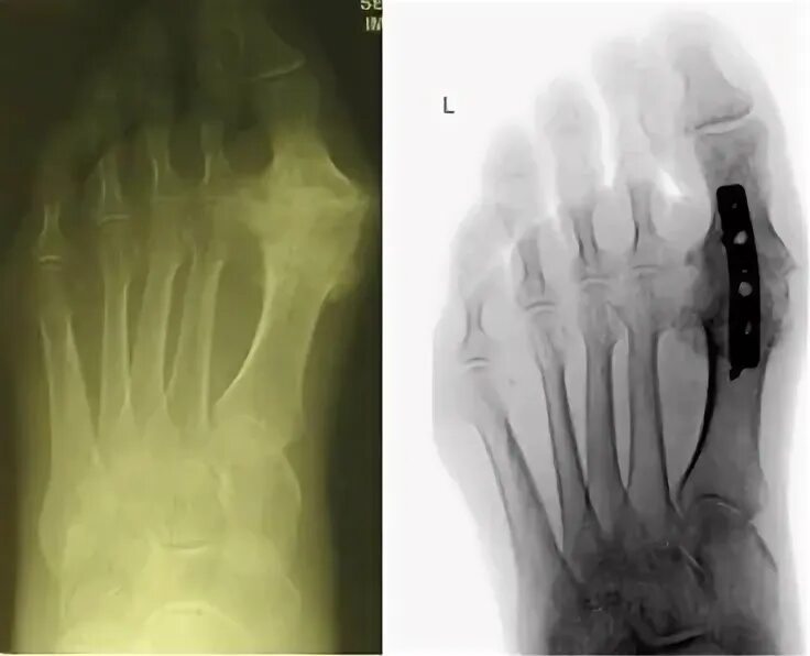
Артроз 1 степени плюснефалангового сустава стопы