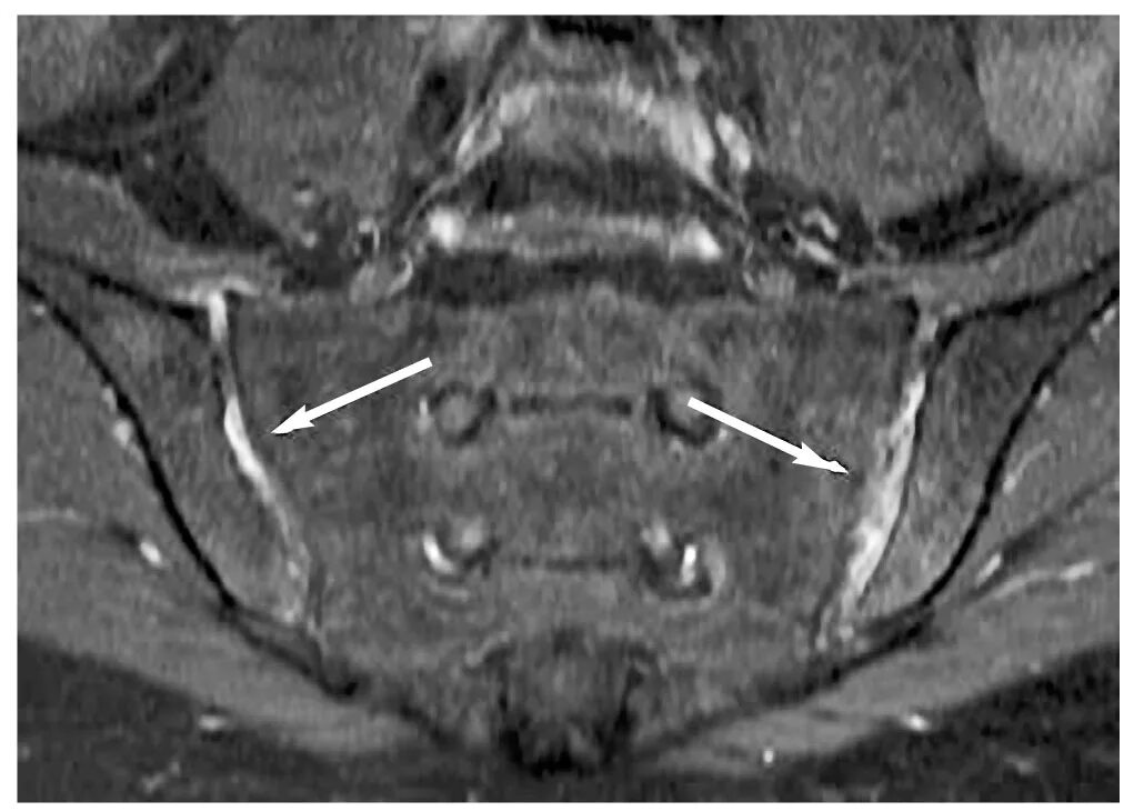
Артрит крестцово подвздошного сочленения