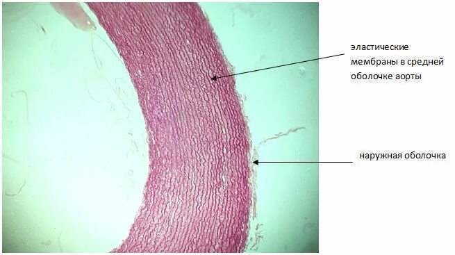
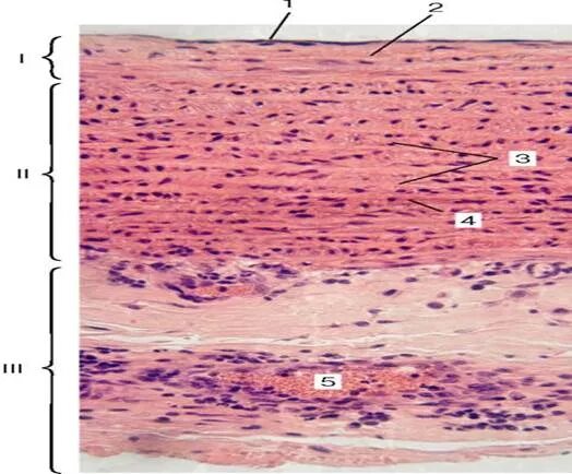
Артерия эластического типа препарат гистология