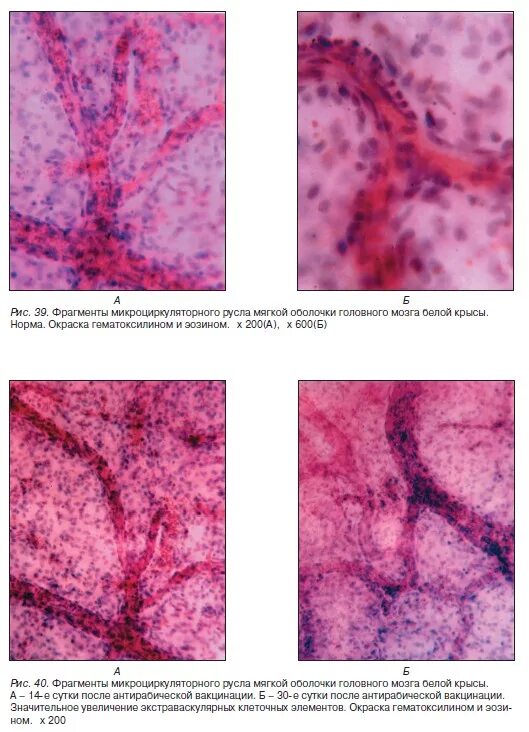
Артериола гистология препарат