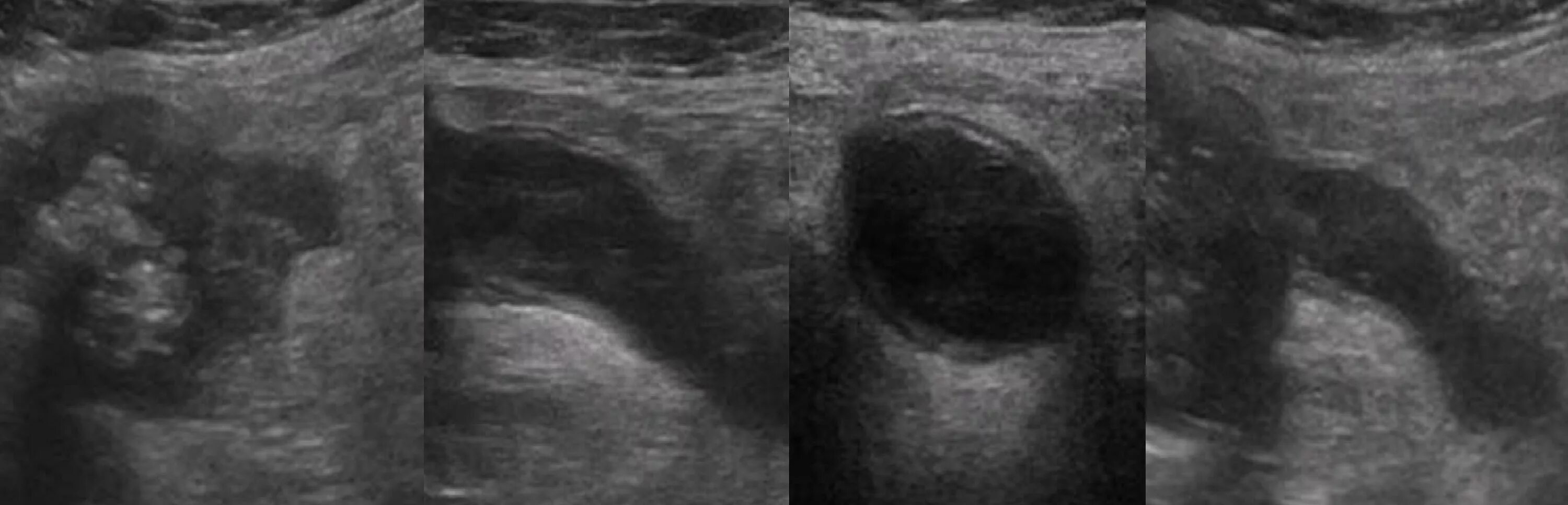
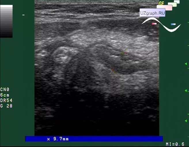
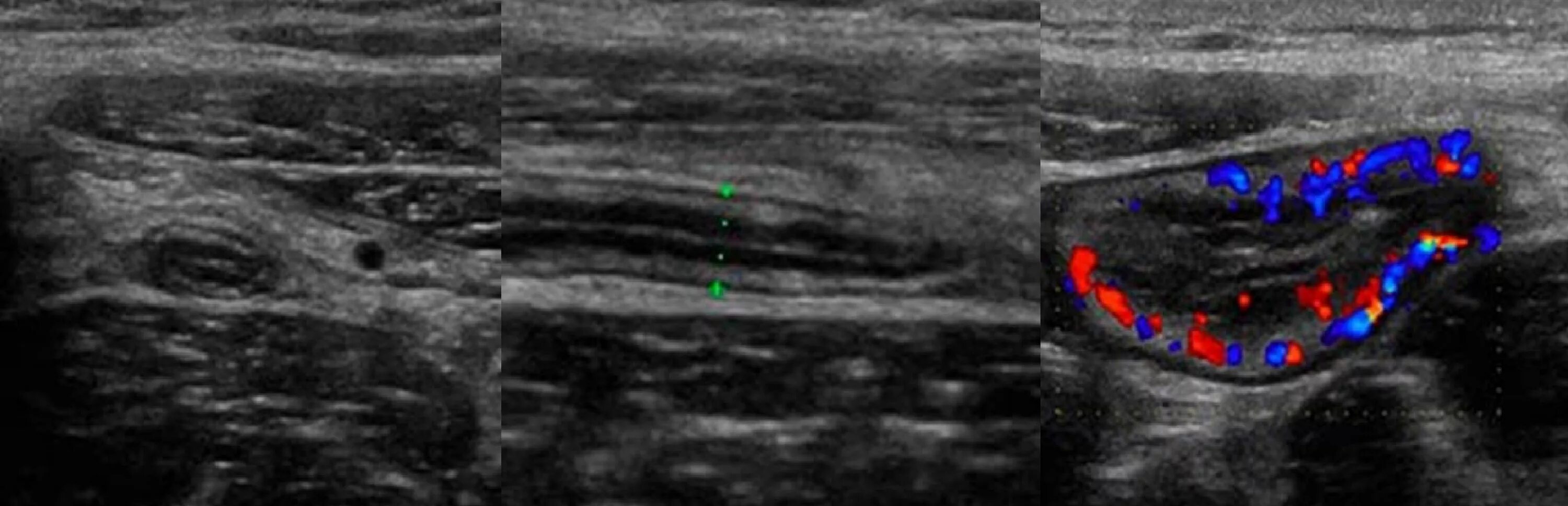
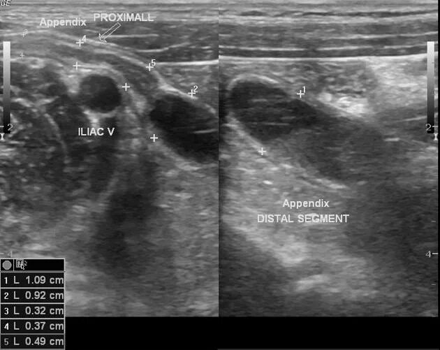
Аппендицит на узи можно ли