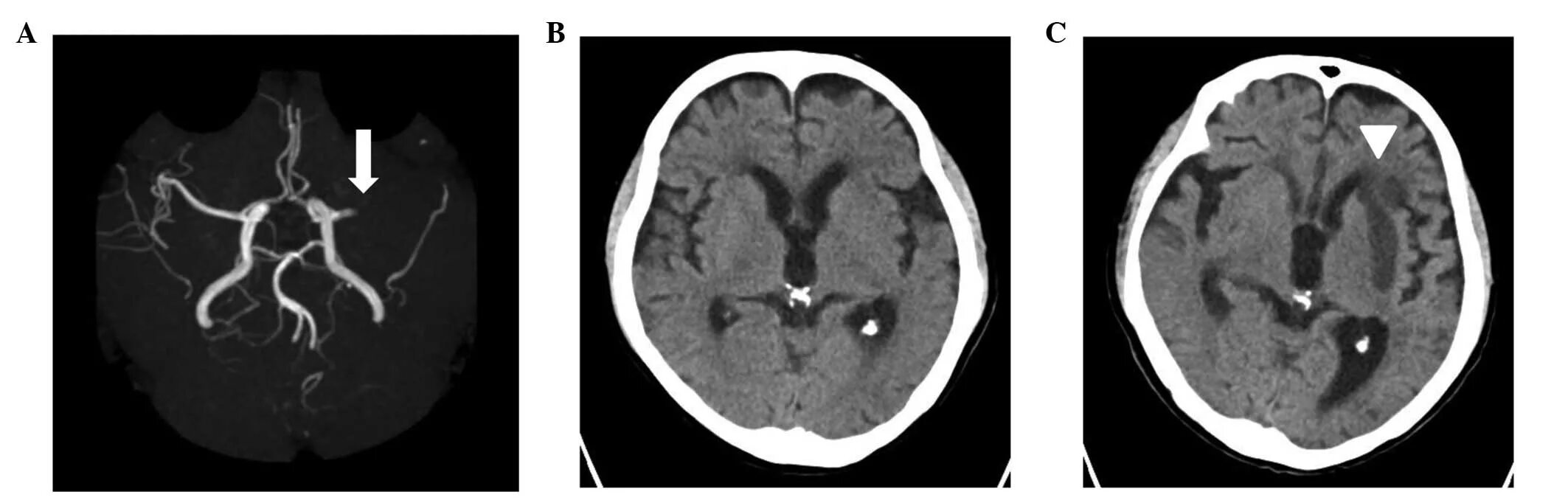
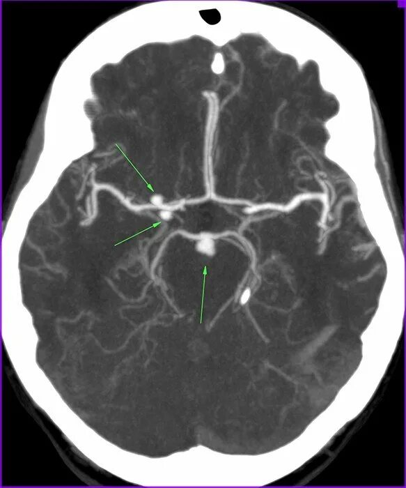
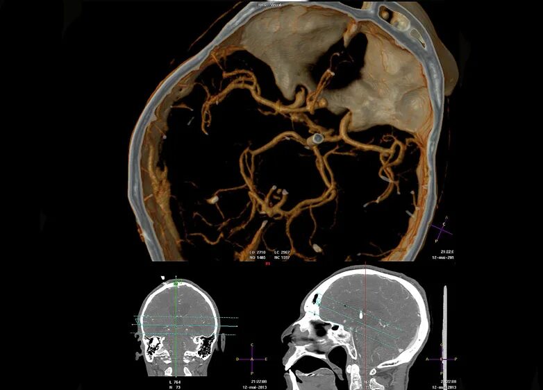
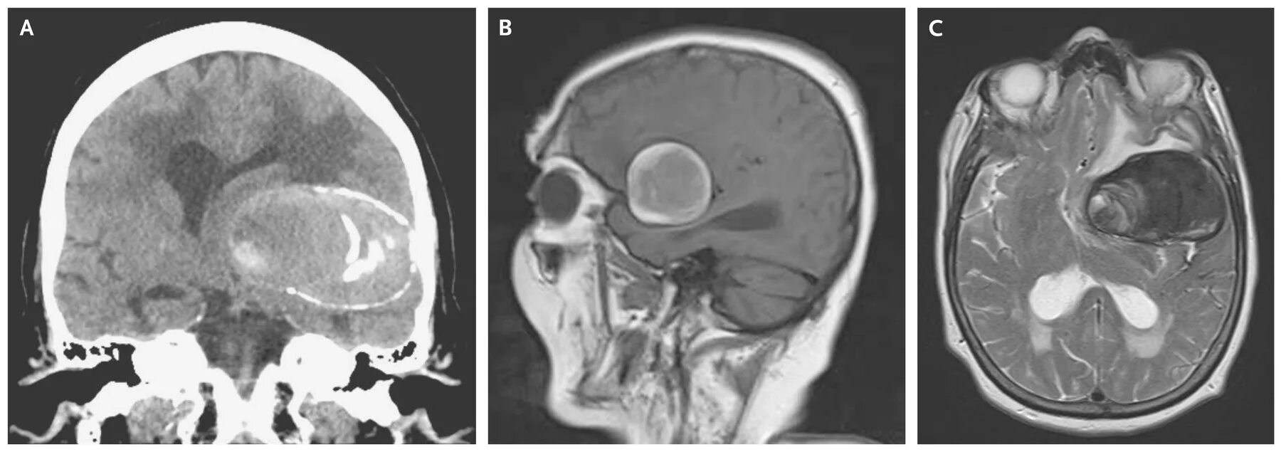
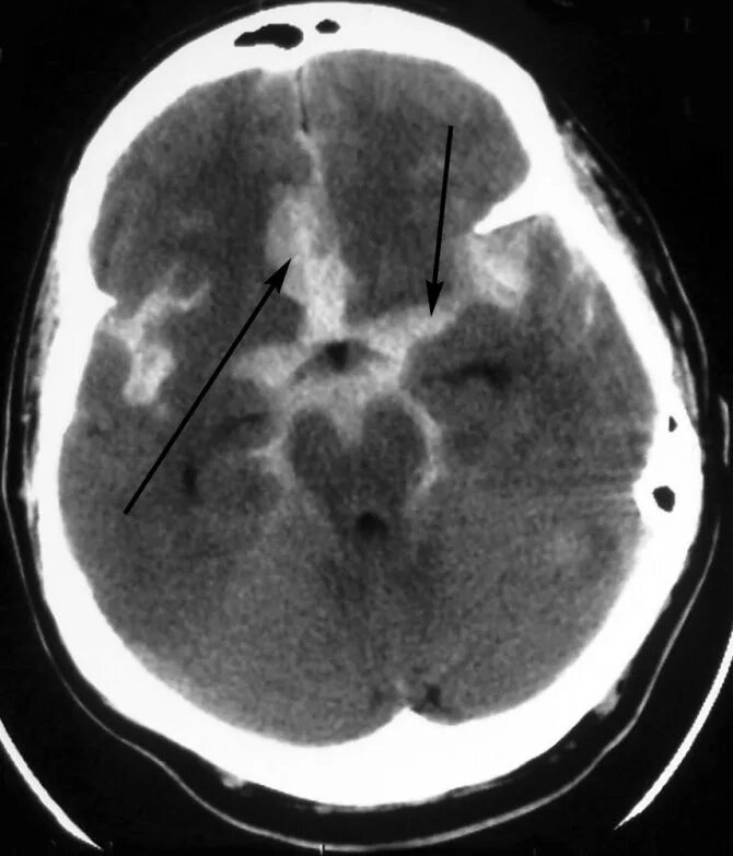
Аневризма головного мозга на кт