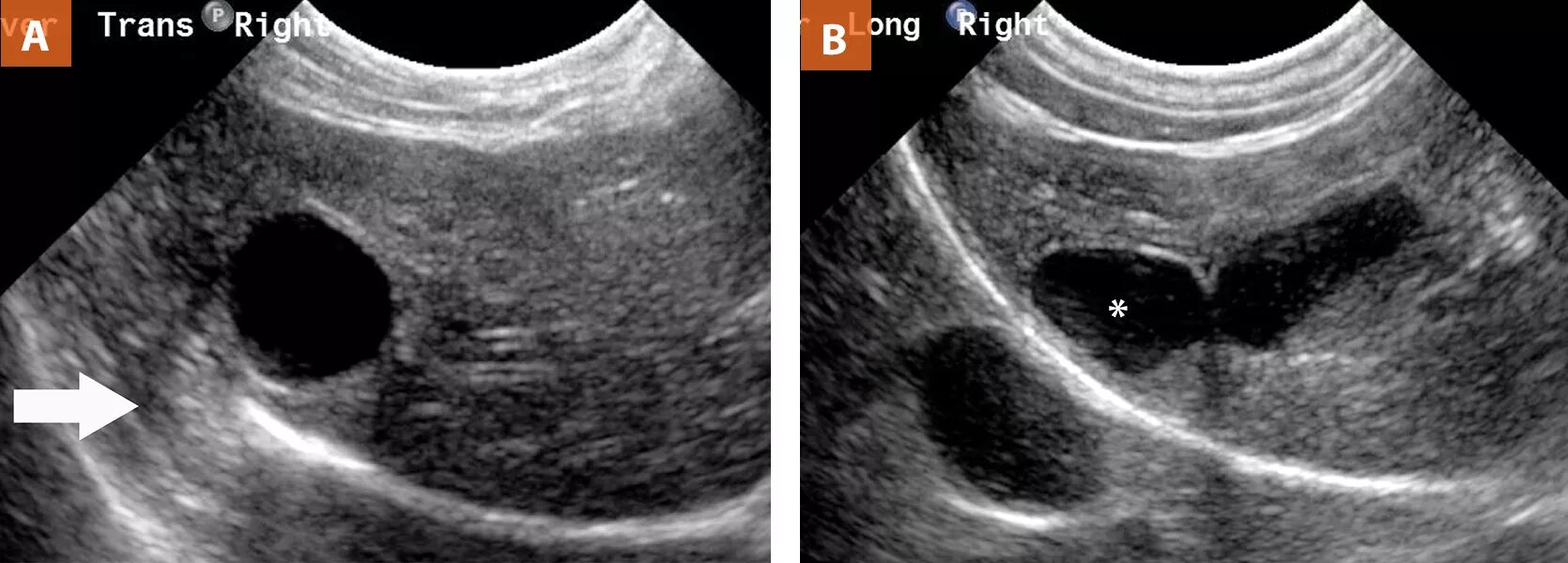
Анэхогенное содержимое желчного что это