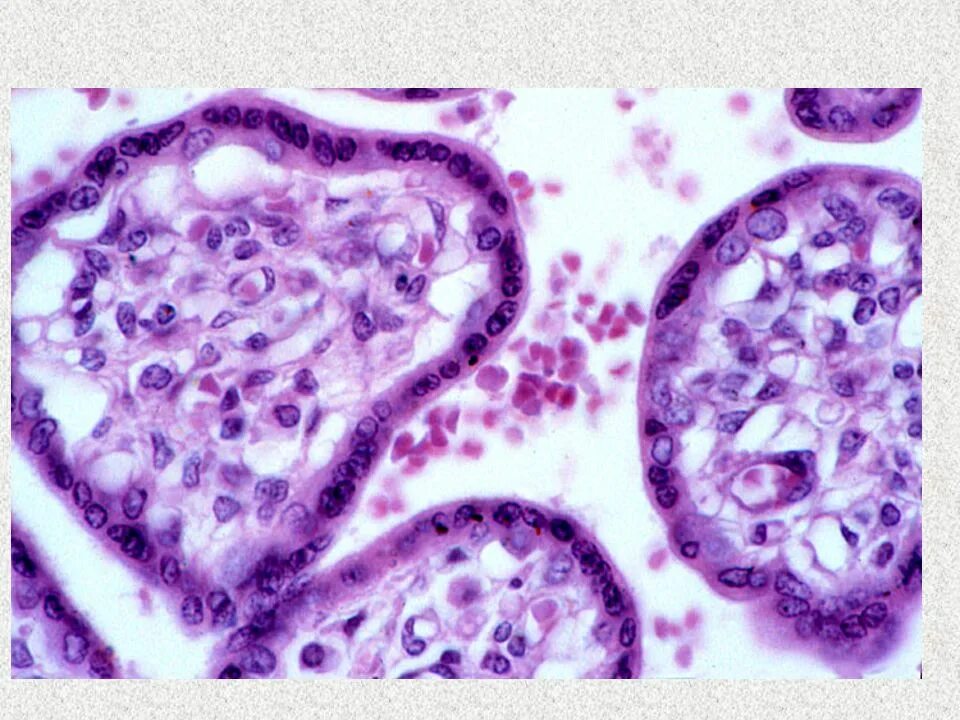
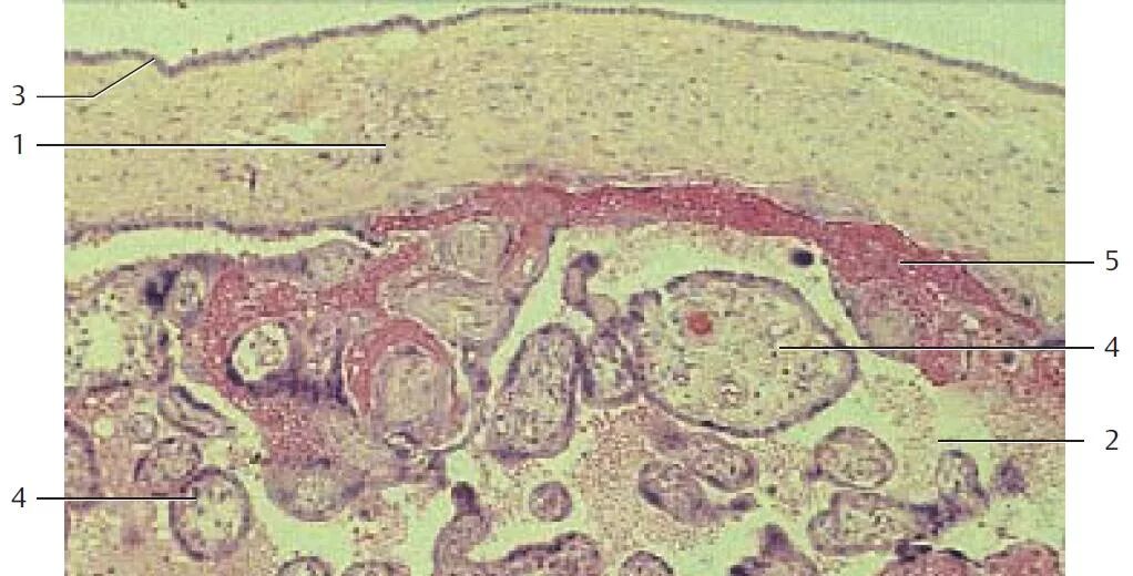
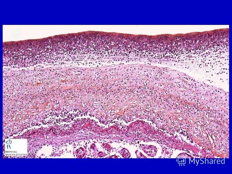
Амнион гистология