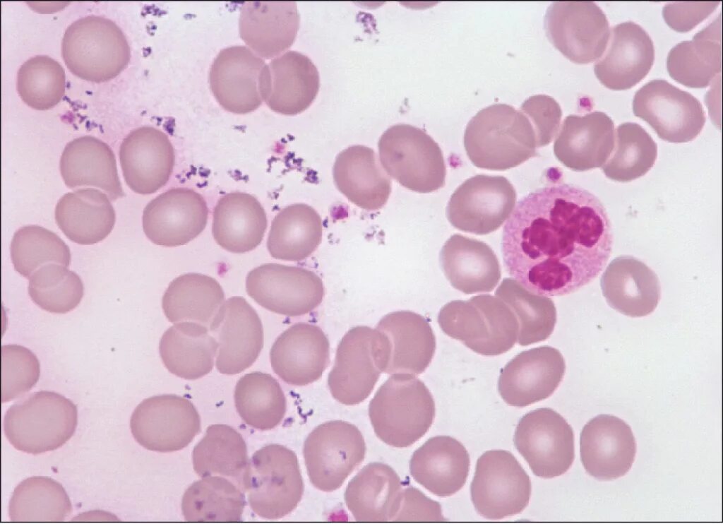
Агрегация тромбоцитов у кошки