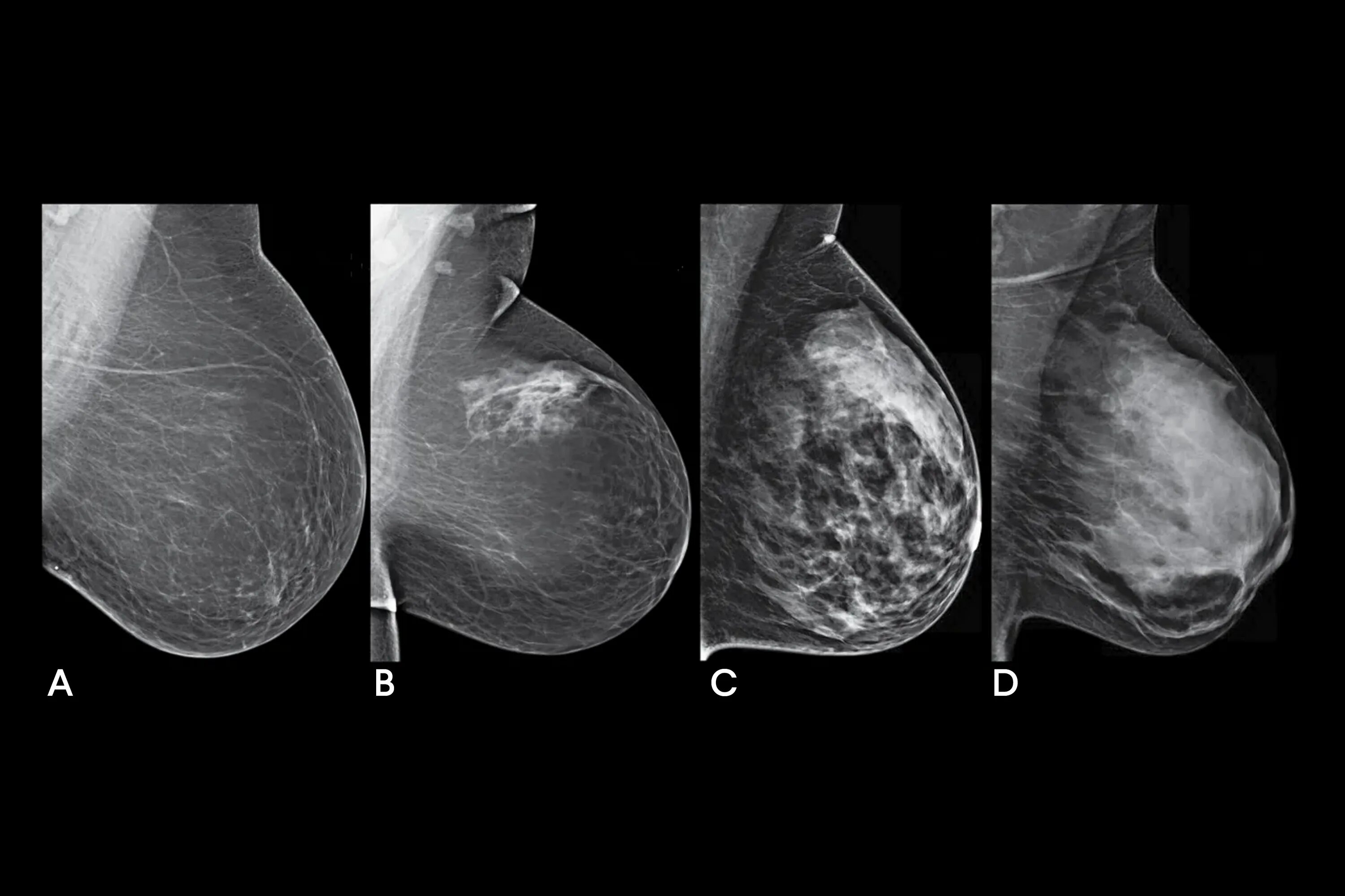
Acr тип молочной железы