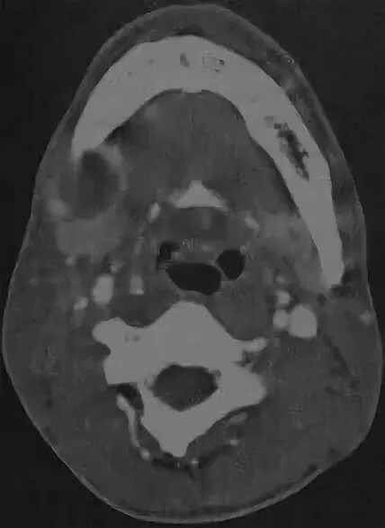
Абсцесс челюстного пространства