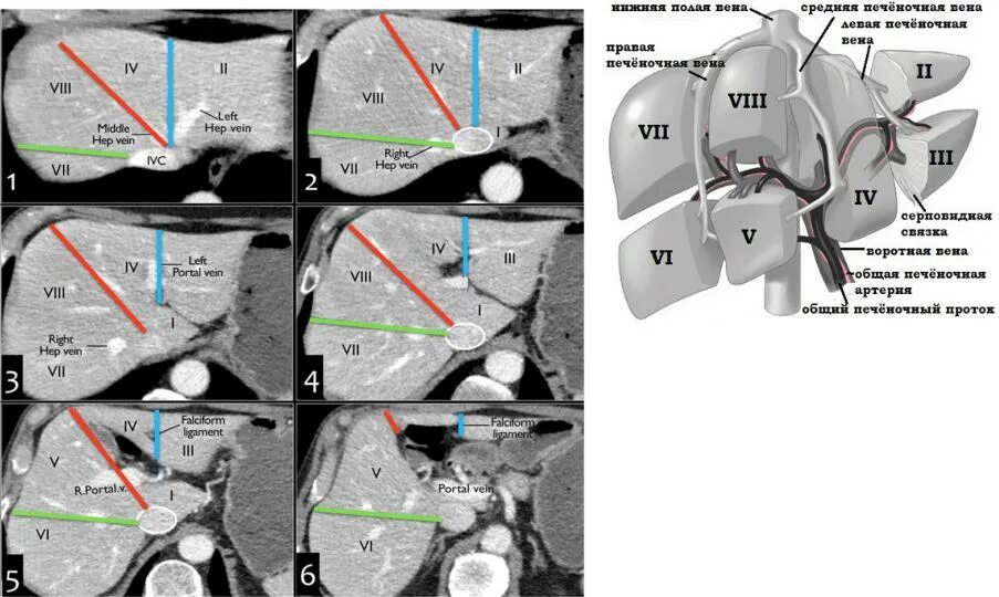
6 7 сегмент печени