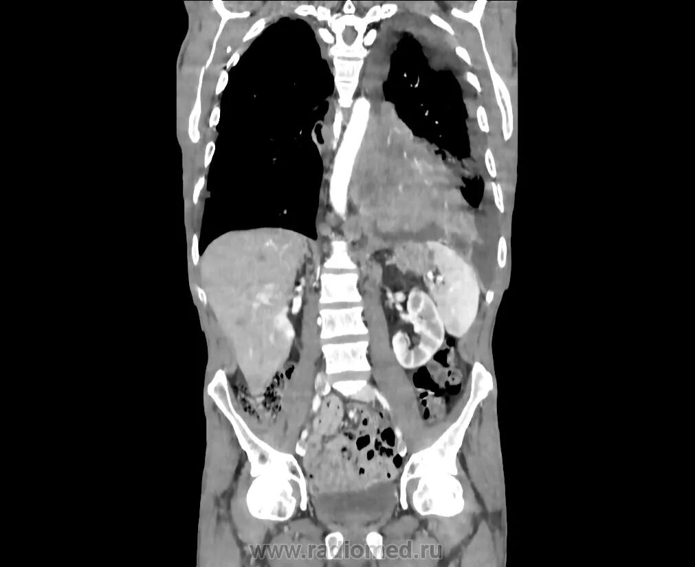
4 стадия метастазы легких