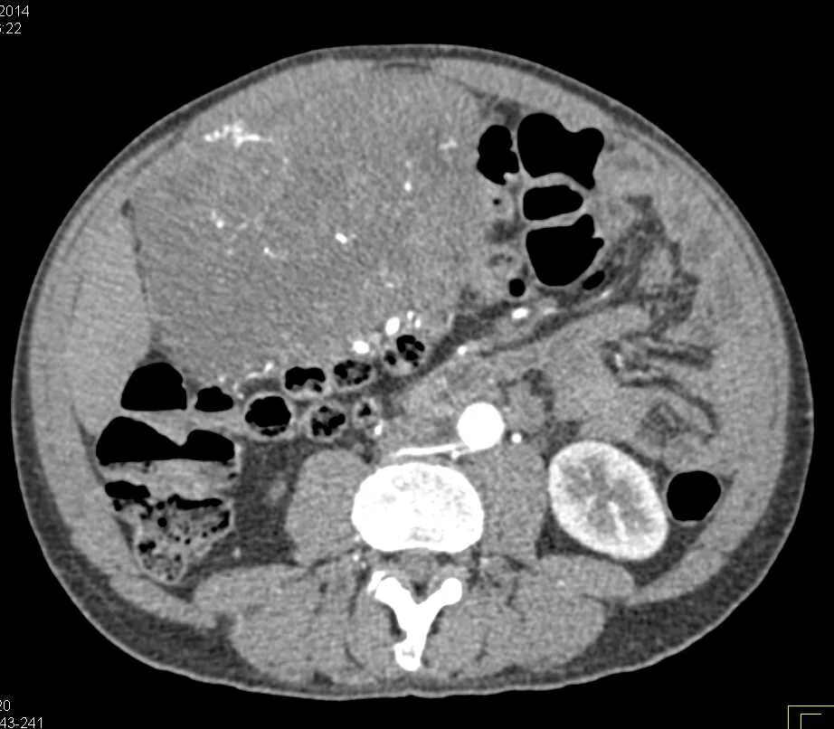
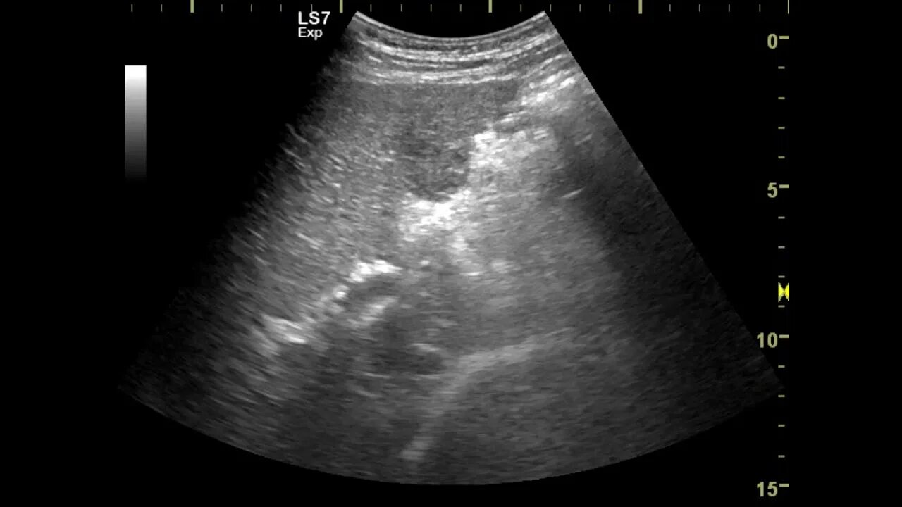
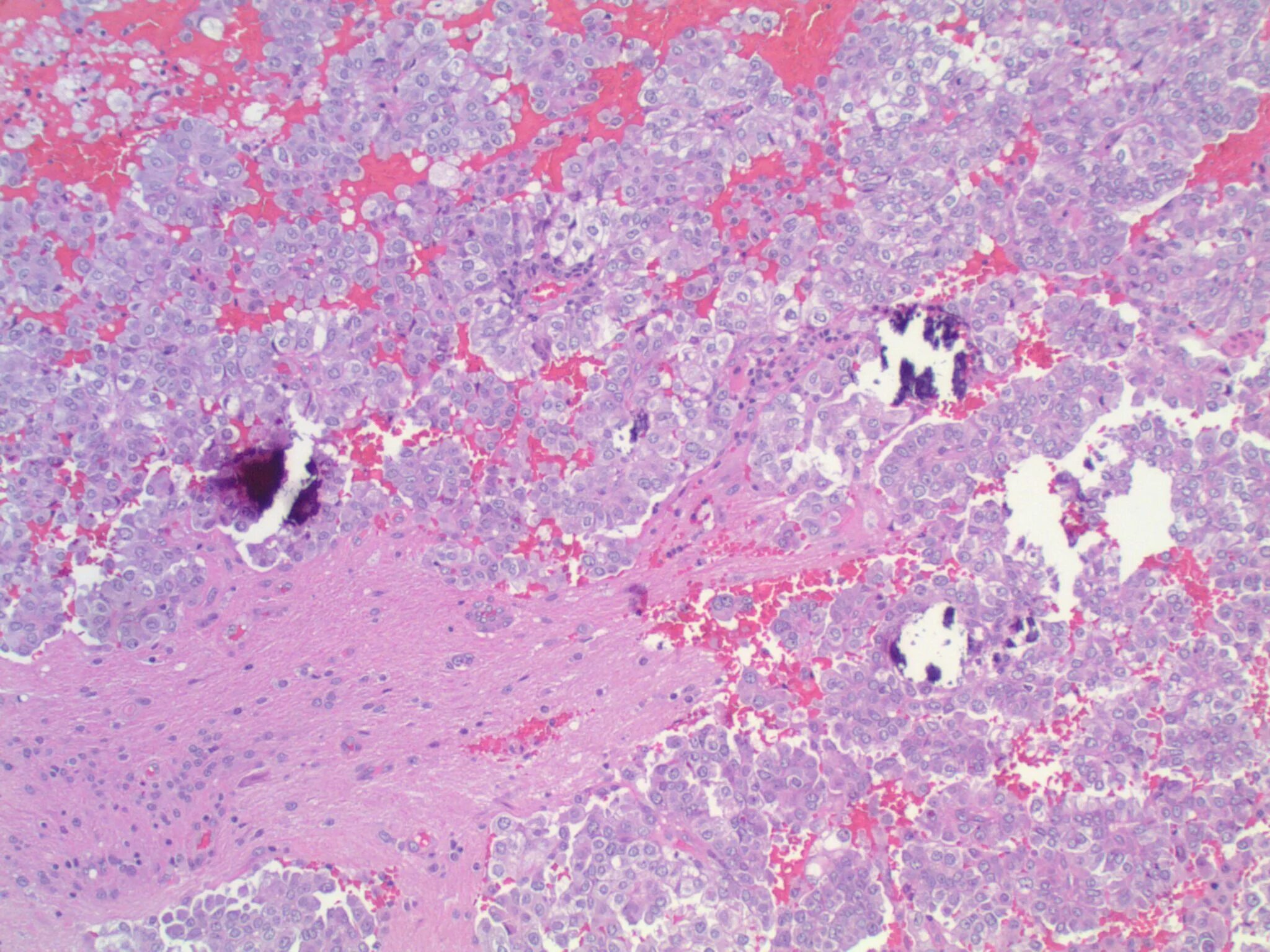
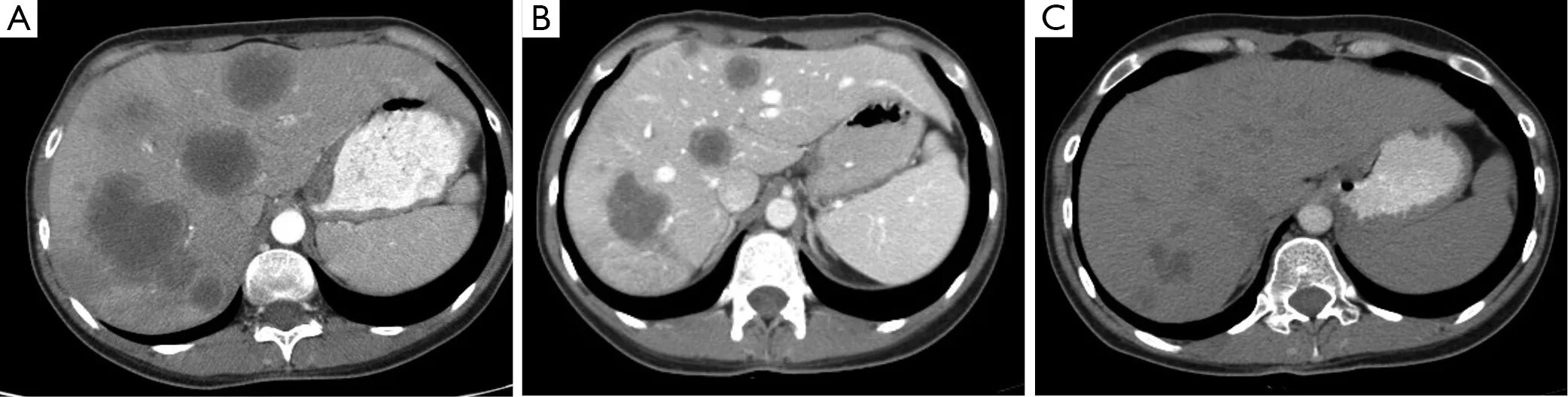
3 метастазы в печени