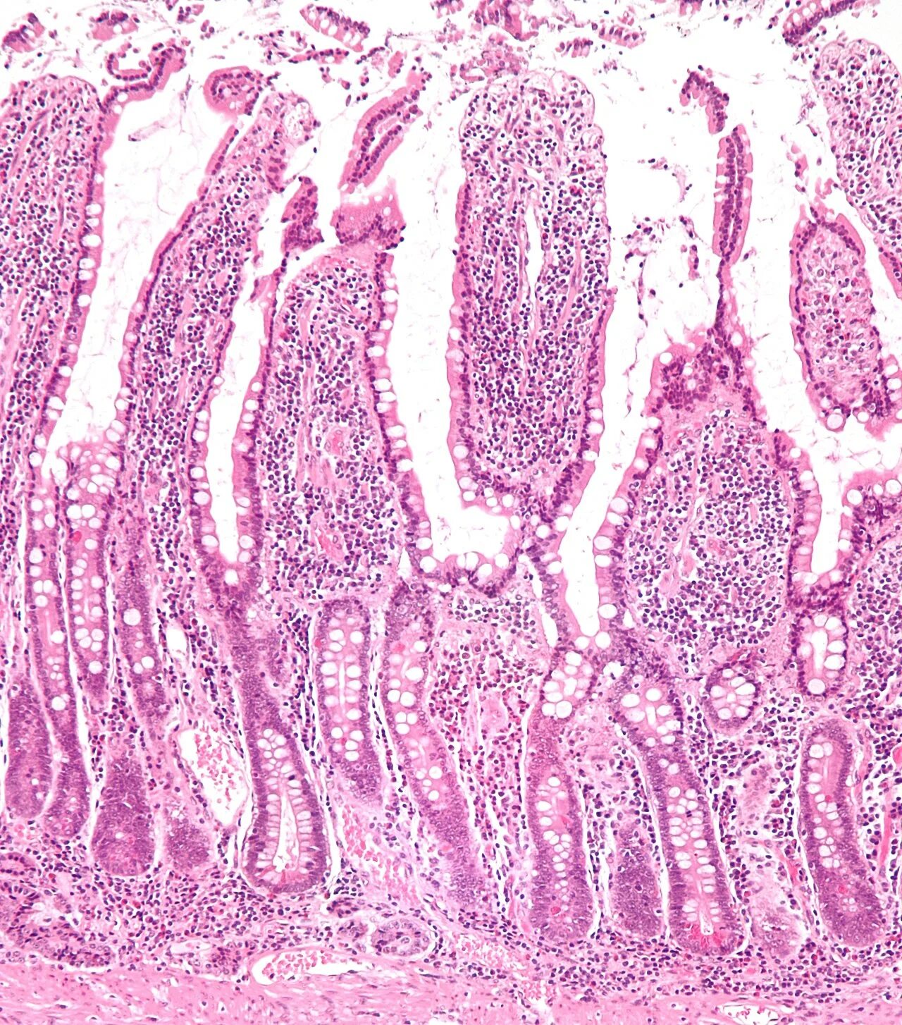
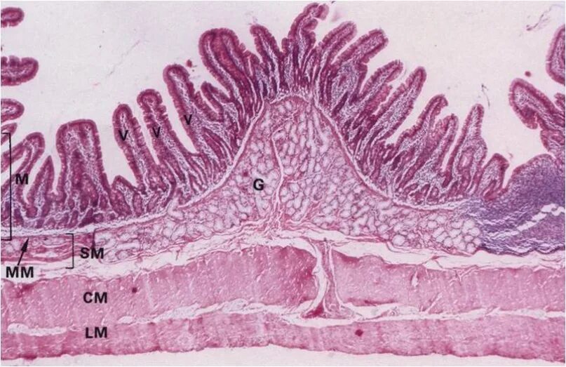
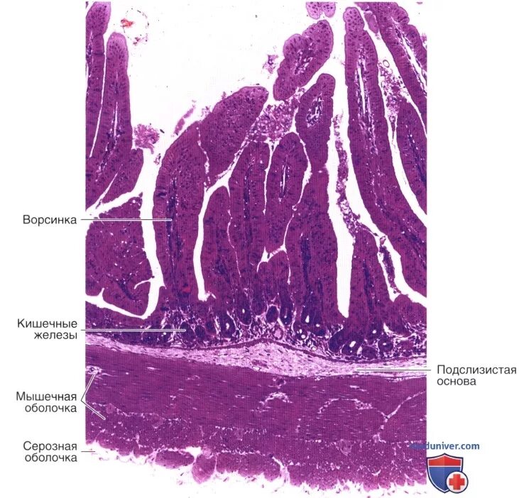
12 кишка гистология